Золедроновая кислота снижала частоту переломов в течение 3,5 года после прекращения терапии

Ученые из Оклендского университета оценили длительность сохранения защитного действия золедроната после последнего введения. Результаты исследования опубликованы в журнале THE LANCET.
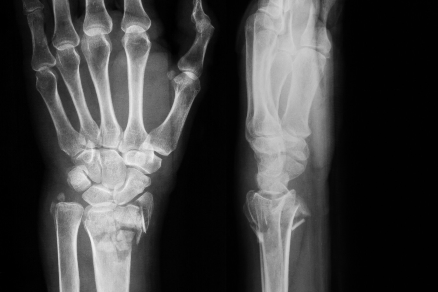
В течение первых двух лет после отмены терапии золедроновой кислотой частота невертебральных переломов увеличилась с 15 до 24 случаев на 1000 человеко-лет. Спустя четыре года частота переломов достигла 42 случаев на 1000 человеко-лет, что соответствовало показателю среди участниц, получавших плацебо.
Частота переломов зависела от минеральной плотности бедренной кости и наличия невертебральных переломов в анамнезе. За четыре года наблюдения минеральная плотность бедренной кости существенно снизилась. После последнего введения золедроновой кислоты этот показатель превышал исходное значение на 4,2%, а в конце исследования – только на 0,8%.
Ранее ученые выяснили, что терапия золедроновой кислотой каждые 18 месяцев в течение шести лет на треть снижает частоту переломов у женщин старше 65 лет. Наблюдали за 727 участницами в течение 4,24 года, чтобы оценить длительность защитного действия препарата.
За время дополнительного наблюдения у 92 женщин диагностировали 114 невертебральных переломов.


















Нет комментариев
Комментариев: