Дайджест интересных клинических случаев марта

Тромбоз брюшной аорты после лазерной литотрипсии мочевого камня
Мужчина в возрасте 41 года с сахарным диабетом 2-го типа, артериальной гипертензией (АГ) и ишемической болезнью сердца (ИБС) поступил в отделение неотложной помощи через неделю после уретероскопии и лазерной литотрипсии по поводу камня в правом мочеточнике. Пациент жаловался на сильную боль в спине, тошноту и рвоту. Боль иррадиировала в обе нижние конечности и сопровождалась значительной слабостью в обеих ногах. Пациент отрицал травмы, лихорадку, дизурию или гематурию.
При осмотре: ЧСС 130 уд./мин., артериальное давление 150/90 мм рт. ст., сатурация кислорода 98%, ЧДД 20 циклов/мин., температура 36°C, цианоз обеих нижних конечностей. На ЭКГ — синусовая тахикардия. Уровень креатинфосфокиназы составил 58 155 МЕ/л, а уровень лактатдегидрогеназы — 1793 МЕ/л. Остальные показатели крови были в норме.
КТ-ангиография показала полную окклюзию дистальной части брюшной аорты с массивным пристеночным тромбом, распространяющимся дистально на обе подвздошные артерии. Тромбоз был обнаружен в артериях почек и селезенки.
Экстренная двусторонняя ангиопластика нижних конечностей включала тромбэктомию, баллонную ангиопластику и катетерную тромболитическую терапию. Во время пребывания в отделении интенсивной терапии уровень креатинина повысился до 409 ммоль/л из-за инфаркта почек, но снизился после внутривенной гидратации. Постепенно состояние пациента значительно улучшилось, и он был выписан.
Авторы отчета в журнале Archive of Clinical Cases отметили, что у пациента было множество факторов риска, включая диабет, АГ, ИБС и курение. Ранее лазерная литотрипсия для лечения мочекаменной болезни была связана с тромбозом аорты в других отчетах. Это предполагает, что сама процедура может вызывать повреждение сосудов, начиная с паренхимы почек и распространяясь на другие кровеносные сосуды. Вибрационные волны могут способствовать этому, но точный механизм еще предстоит исследовать.
Двусторонняя трубная беременность
Пациентка афроамериканского происхождения в возрасте 26 лет обратилась в отделение неотложной помощи с периодическими спазмами в правой нижней части таза и вагинальным кровотечением в течение последних 13 дней. Симптомы появились примерно через полторы недели после выполнения Пап-теста. В анамнезе — хламидиоз, хирургическое вмешательство по поводу медикаментозного аборта в августе 2023 года. Тест на беременность отрицательный. Было две беременности: в 2017 году (протекала нормально, без осложнений) и в 2022-м (осложнена хориоамнионитом и преждевременными родами на 32-й неделе).
Авторы отчета в журнале Cureus провели исследование уровня хорионического гонадотропина человека (β-ХГЧ), подтвердившее наличие беременности. После купирования симптомов пациентку выписали. Повторное обследование два дня спустя показало, что уровень β-ХГЧ вырос менее чем на 50%, что вызвало подозрения во внематочной беременности. Была проведена лапароскопическая правосторонняя сальпингэктомия по поводу подтвержденной правосторонней маточной внематочной беременности.
Через пять дней женщина вновь обратилась в отделение неотложной помощи из-за жалоб на слабость, головокружение и усиление вагинального кровотечения. Повторное обследование выявило повышенный уровень β-ХГЧ. УЗИ органов малого таза не показало патологий или признаков внутриматочной беременности. Через три дня во время УЗИ были выявлены признаки левосторонней трубной беременности. После терапии метотрексатом пациентка полностью выздоровела.
| Внематочная беременность встречается примерно в 1% всех беременностей и в большинстве случаев локализуется в маточной трубе. Последовательное возникновение двух трубных беременностей — редкое явление. Двусторонняя внематочная беременность встречается в 0,000005% случаев маточных беременностей и в 0,00063—0,00138% случаев внематочных беременностей. В случае пациентки беременности были контралатеральными. Врачи должны тщательно осматривать обе маточные трубы во время лапароскопии, даже при наличии плотных спаек или отсутствии признаков внематочной беременности, чтобы не пропустить это редкое, но опасное для жизни состояние, считают авторы отчета. |
Амнезия из-за рака легкого
В журнале Archive of Clinical Cases представлен клинический случай 71-летней пациентки без предшествующей истории эпилепсии или диагностированных когнитивных нарушений. Жалобы включали рецидивирующие эпизоды пространственной дезориентации длительностью 1—2 часа, начавшиеся во второй половине 2023 года. Во время приступов она уходила от родных, терялась и не понимала, где находилась. Также наблюдались нарушения исполнительных функций (в том числе при одевании) и замещение пробелов в памяти вымышленными эпизодами. Умеренные постоянные нарушения наблюдались и между эпизодами, включая расстройства речи, мышления, исполнительных функций.
Пациентку несколько раз госпитализировали и обследовали. Электроэнцефалография однократно выявила повышение бета-активности. МРТ головного мозга не выявила аномалий. Уровни сывороточных опухолевых маркеров (CEA, CA125, CA19-9, CA72-4) находились в пределах референсных значений. Анализ спинномозговой жидкости не выявил отклонений. Терапия вальпроатом натрия и леветирацетамом не привела к стабильному улучшению.
Примерно за два года до обращения к авторам у пациентки был обнаружен узел в левом легком. Учитывая прогрессирование неврологических симптомов, была выполнена хирургическая резекция. Гистопатология подтвердила низкодифференцированную инвазивную аденокарциному легкого без метастазирования в лимфатические узлы.
Все противосудорожные препараты были отменены после операции. В течение приблизительно 10 месяцев наблюдения у пациентки не наблюдалось рецидивов дезориентации, амнезии или судорожных приступов. Члены семьи сообщили о почти полном восстановлении памяти, способности ориентироваться в пространстве и ясности ума, приблизившись к уровню до болезни.
Авторы отметили, что нет данных, надежно доказывающих причинно-следственную связь между удалением опухоли легкого и улучшением состояния пациентки. Другие исследования показывают возможность развития паранеопластических неврологических синдромов даже при отсутствии повреждения синапсов антителами. Предположительно это связано с хроническим воспалением. Эпилептогенез при этом рассматривается как динамическое системное расстройство, а не как очаговое структурное поражение.
Метастазирование серозной карциномы яичника в тимус после 25 лет ремиссии
Женщина 72 лет находилась в ремиссии рака яичников 25 лет. В 2000 году ей было проведено лечение (гистерэктомия и 15 курсов адъювантной химиотерапии препаратами платины) низкодифференцированной серозной карциномы яичника IV стадии. Принимала тамоксифен в течение 22 лет без признаков рецидива заболевания до развития непереносимых побочных эффектов. Выявлен устойчивый рост уровня CA-125 с 65,9 до 100,1 ед./мл в течение года.
Дальнейшее обследование выявило образование в средостении. Оно было удалено хирургически вместе с тимусом и прилегающими лимфатическими узлами. Иммуногистохимическое исследование удаленного инкапсулированного частично некротизированного новообразования показало, что оно представляло метастазы низкодифференцированной серозной карциномы.
Анамнез пациентки включал сахарный диабет 2-го типа, хроническую болезнь почек III стадии, рецидивирующий тромбоз глубоких вен и легочную эмболию. Она отказалась от лечения тамоксифеном или летрозолом из-за ранее наблюдавшихся побочных эффектов. На момент составления отчета у нее не было признаков рецидива опухоли.
Хотя частота рецидивов при низкодифференцированной серозной карциноме высока, менее 10% таких случаев рецидивируют более чем через 10 лет после первоначального диагноза.
Авторам отчета, опубликованного в журнале Clinical Case Reports, удалось найти менее десяти ранее описанных случаев метастатической карциномы яичника в переднее средостение, причем рецидивы наблюдались в период от 3 до 33 лет после лечения. Все описанные случаи представляли собой низкодифференцированные серозные карциномы.
В статье рассмотрены вопросы дифференциальной диагностики между метастазами низкодифференцированной серозной карциномы яичника и другими новообразованиями, включая многокамерную кисту тимуса, а также возможные механизмы метастазирования после длительной ремиссии.
Разрушение легкого туберкулезной этиологии
Значительная часть переживших легочный туберкулез, особенно в странах с низким и средним уровнем дохода, страдают от посттуберкулезных изменений легких, в том числе синдрома разрушения легкого, сопровождаемого необратимым и обширным некрозом органа. Современные программы борьбы с туберкулезом часто уделяют мало внимания этому состоянию, поскольку сосредоточены на активной форме заболевания.
Врачи из Ганы представили в журнале Clinical Case Reports три случая разрушения легкого туберкулезной этиологии. В стране распространенность бактериологически подтвержденного туберкулеза составляет 356 случаев на 100 тыс. населения. На Африку приходится примерно четверть всех диагностируемых в мире за год случаев туберкулеза.
Наибольшее разрушение легкого наблюдалось у 45-летнего пациента (Case Presentation 3 ) — бывшего курильщика с 17,3 пачка-лет стажа. Он обратился в отделение неотложной помощи с жалобами на одышку в течение 3 лет при быстрой ходьбе по ровной местности или подъеме на небольшой холм (одышка 1-й степени по шкале mMRC). Она сопровождалась быстрой утомляемостью, сердцебиением и потерей веса. Ортопноэ, пароксизмальная ночная одышка, боль в груди, кровохарканье или отек стоп отсутствовали.
За две недели до обращения в другой больнице ему были назначены пероральные препараты из-за жалоб на субфебрильную температуру и кашель. Лечение не привело к улучшению.
Ранее проходил лечение от туберкулеза легких, после чего был признан микробиологически излеченным. До постановки диагноза в течение 8 лет занимался добычей полезных ископаемых.
При осмотре выявлена дыхательная недостаточность с сатурацией кислорода 86% на воздухе, без бледности или цианоза кожных покровов, умеренная кахексия (вес тела составлял 60 кг), деформация пальцев по типу «барабанных палочек» 4-й степени. Пульс 135 уд./мин., артериальное давление 112/71 мм рт. ст., ЧДД 32 цикла/мин., отмечалось смещение трахеи влево.
Был выполнен общий анализ крови, серологические тесты на ВИЧ и другие инфекции (все — отрицательно), микроскопическое и культуральное исследование мокроты.
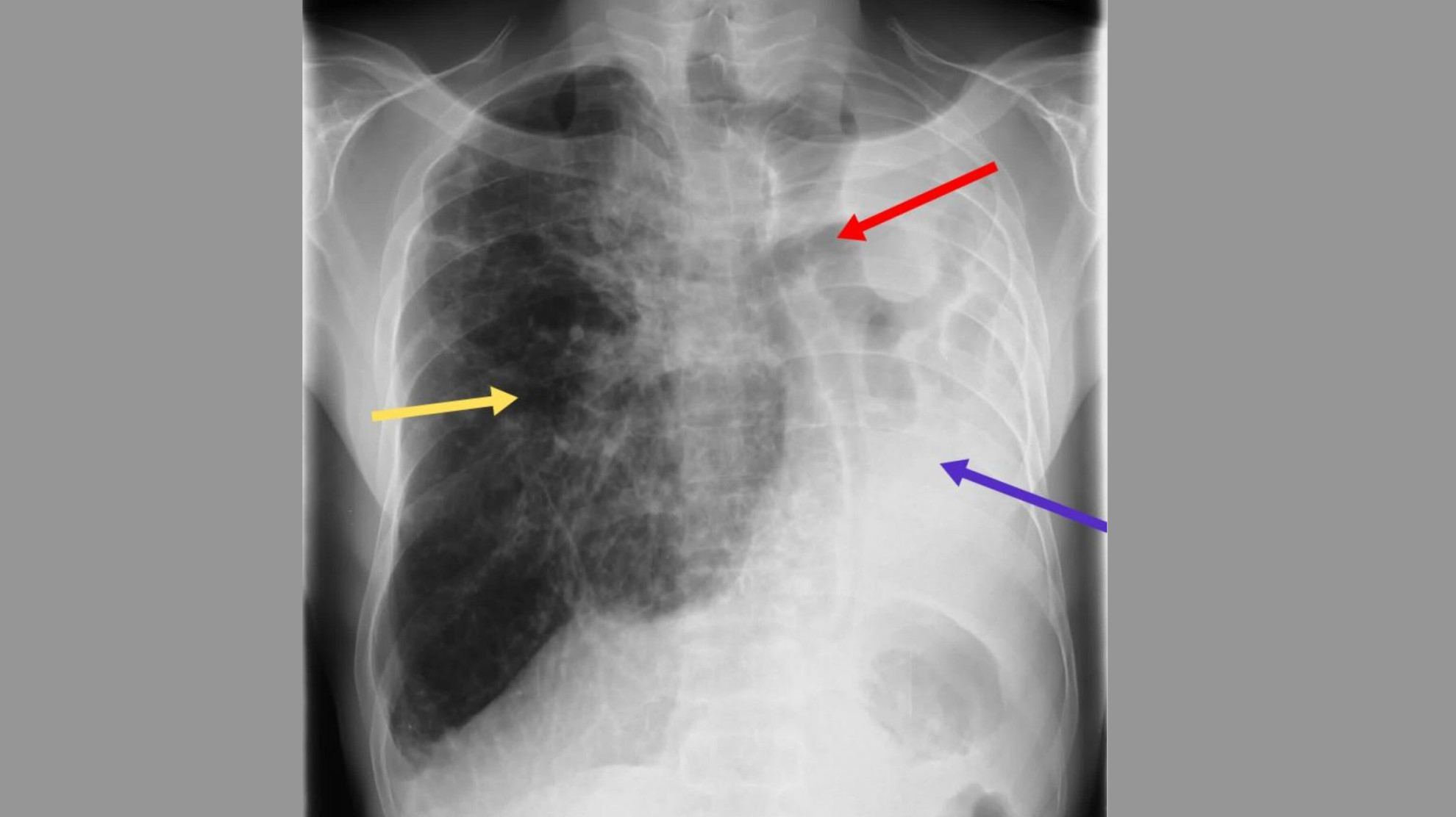
Рентгенограмма грудной клетки показала значительное уменьшение объема левого легкого, существенное смещение средостения влево, стеснение ребер с левой стороны и компенсаторную гипервентиляцию правого легкого.
Пациенту был поставлен диагноз посттуберкулезного диссеминированного лейкоза. Были назначены кислородная терапия через носовую канюлю со скоростью 5 л/мин., прием антибиотиков, рекомендованы пневмококковая и противогриппозная вакцины, а также высококалорийная и богатая белком пищу. Через 9 дней после госпитализации кислородная терапия была прекращена. Через 6 месяцев после выписки продуктивный кашель и субфебрильная температура полностью исчезли. Сохранялась одышка при подъеме на невысокий холм, пациент остался ограничен в физической активности, но мог выполнять работу сидя.















Нет комментариев
Комментариев: 0