Дайджест интересных клинических случаев ноября

Зарегистрирована первая смерть от вызванной укусом клеща аллергии на мясо
В 2024 году 47-летний пилот авиалиний из Нью-Джерси (США) съел гамбургер, а спустя семь часов умер в больнице. Симптомы появились через 4,5 часа после потребления говядины. Мужчина потерял сознание и был обнаружен в ванной, лежащим в рвотных массах. Парамедики начали реанимацию через семь минут после этого, но пациент умер в больнице.
При вскрытии, гистологическом и токсикологическом исследованиях тканей не было обнаружено признаков патологии или отравления. Вдова пациента с помощью знакомого врача инициировала расследование причин смерти. Медики предположили, что у мужчины мог быть синдром альфа-гал, так как за две недели до смерти у него возникло расстройство желудочно-кишечного тракта (ЖКТ) после потребления красного мяса. Это заболевание развивается, когда иммунитет пораженного человека начинает вырабатывать IgE-антитела к углеводу альфа-галу, содержащемуся в слюне клещей и в красном мясе млекопитающих. Вдова мужчины сообщила, что он перенес около десяти укусов иксодовых клещей Amblyomma americanum.
Собранная посмертно кровь пациента была исследована в Клинике Мэйо. В образцах обнаружили IgE-антитела к говядине, а уровень триптазы превышал 2000 нг/мл, что говорило об анафилаксии.
Тяжелой анафилаксии могли способствовать употребление пива в день смерти, воздействие пыльцы амброзии и физическая активность за час до появления симптомов. Сильная боль в животе может быть признаком анафилаксии даже без других проявлений аллергии, подчеркнули авторы.
Первое известное заражение птичьим гриппом H5N5 закончилось смертью пациента
Пожилой мужчина из США с сопутствующими заболеваниями был госпитализирован с симптомами гриппа: лихорадкой, спутанностью сознания и нарушением дыхания. У него выявили серотип птичьего гриппа H5N5, ранее зарегистрированный только у животных. Предположительно инфекцию передали домашние птицы, которые контактировала с дикими. Пациент скончался 21 ноября 2025 года, через несколько недель после госпитализации. Причины смерти, возраст и пол не были указаны.
Вирус не был выявлен у близких пациента, также не было зафиксировано случаев передачи H5N5 от человека к человеку. Центры по контролю и профилактике заболеваний (CDC) США и Департамент здравоохранения штата Вашингтон отметили, что риск для населения остается низким. Выявленный у пациента серотип вируса относится к той же кладе, что и распространенный H5N1. Они отличаются подтипом нейраминидазы — поверхностного антигена вируса, играющего ключевую роль в высвобождении вируса из клетки.
В Департаменте здравоохранения напомнили об опасности употребления непастеризованного молока или продуктов из него, в том числе не стоит кормить ими домашних животных. Людям, контактирующим с домашними или дикими птицами, рекомендовали сделать прививку от сезонного гриппа.
Напечатанную на 3D-биопринтере роговицу впервые пересадили в Израиле
Потерявшей зрение на одном глазу пожилой пациентке трансплантировали роговицу, напечатанную из клеток мертвого донора без хронических заболеваний. Процедуру провели в медицинском центре Рамбам (г. Хайфа, Израиль), а печать полностью выполнила компания Precise Bio.
По прозрачности и механическим свойствам имплант не отличался от природной роговицы. Создание объекта включало выращивание клеток, печать ткани, ее созревание, заморозку и придание импланту формы.
Трансплантация, вернувшая пациентке зрение, стала частью первого этапа клинических испытаний для оценки переносимости и безопасности процедуры. В них примут участие 10—15 человек с отеком роговицы, вызванным дисфункцией эндотелия. Результаты будут опубликованы во второй половине 2026 года, и в случае успеха массовое применение трансплантата начнется в 2028 году.
В пересадке роговицы нуждаются 13 млн человек в мире, и авторы исследования надеются, что биопечать сможет смягчить проблему нехватки донорских роговиц. Сейчас пациенты могут ждать пересадки годами.
Тяжелая грибковая инфекция глаза после укуса насекомого
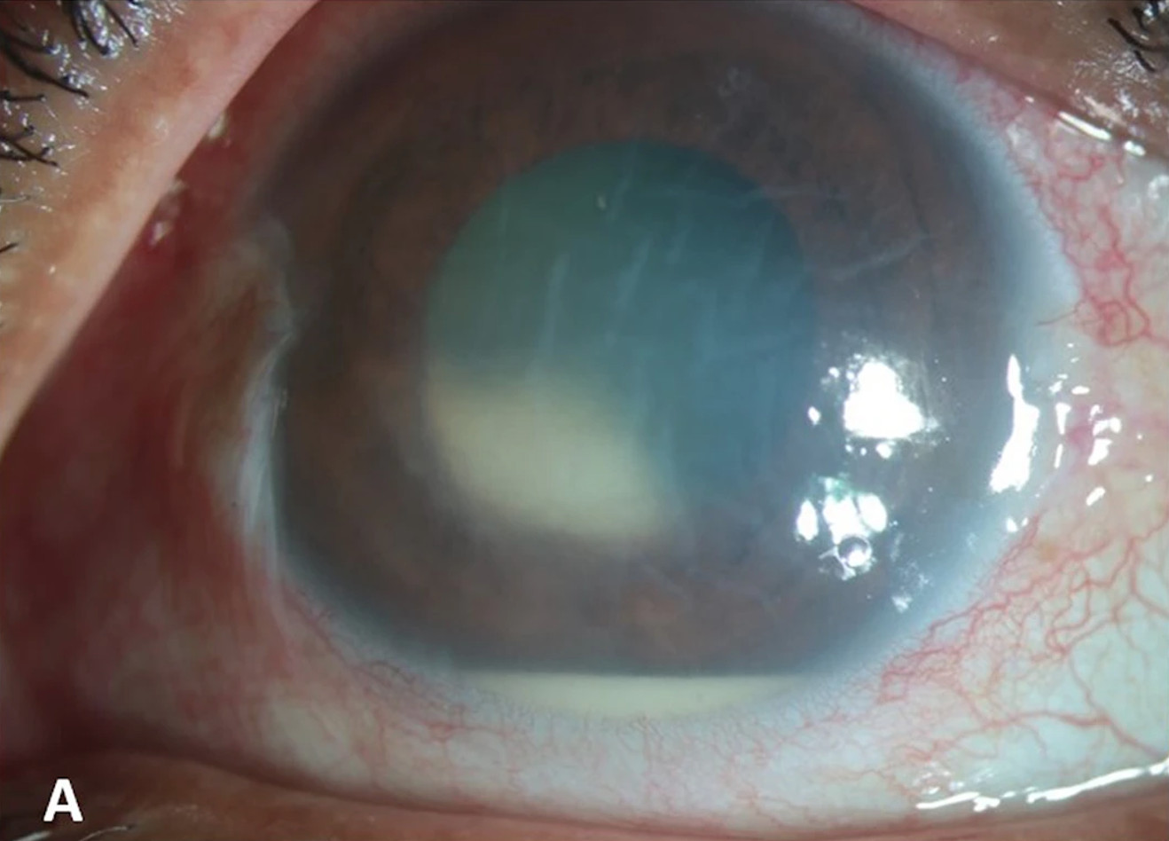
Пациентка из Индии в возрасте 56 лет без хронических заболеваний обратилась с жалобами на боль и прогрессирующую потерю зрения на левом глазу. Симптомы появились через шесть месяцев после укуса насекомого. Женщина получала местную и пероральную противогрибковую терапию по поводу предполагаемой грибковой язвы роговицы. При осмотре были выявлены отек роговицы, скопление гноя в передней камере глаза и абсцесс хрусталика.
Женщине удалили стекловидное тело и хрусталик. В биоптате выявили нити грибка Corniculantispora psalliotae, что подтвердили секвенированием ДНК. Пациентке назначили системное противогрибковое лечение. В связи с персистирующим воспалением была проведена таргетная криотерапия.
C.psalliotae поражает насекомых и редко вызывает инфекции у человека: описаны единичные случаи заражения, но не связанные с областью глаза. Авторы подчеркнули важность комплексного микробиологического исследования при атипичном эндофтальмите.
Лучевая терапия рака способствовала развитию редкой опухоли семенного канатика
Курящий мужчина в возрасте 75 лет с диабетом 2-го типа, гипертонией, гиперлипидемией и ишемической болезнью сердца обратился с жалобой на безболезненную припухлость в левой части паха. За шесть лет до этого он перенес курс лучевой терапии по поводу рака предстательной железы.
Врачи предположили, что образование было паховой грыжей, но гистопатологическое исследование выявило низкодифференцированную липосаркому семенного канатика с лимфоваскулярной инвазией и поражением надкостницы. Пациенту провели левостороннюю орхэктомию, иссечение опухоли и последующую лучевую терапию.
Год спустя на контрольном приеме пациент сообщил об усталости и слабости. ПЭТ-сканирование выявило метастатическое поражение легких. Ему провели терапию палбоциклибом, абемациклибом и пембролизумабом. Несмотря на это, произошел новый рецидив образования в левой паховой области, что потребовало проведения спиральной эмболизации глубокой артерии бедра.
В литературе описано менее 200 случаев липосаркомы семенного канатика. Часто ее ошибочно принимают за паховую грыжу или гидроцеле. Развитие опухоли могло быть связано с высокими дозами лучевой терапии, полученными пациентом во время лечения рака предстательной железы, отмечают авторы.


















Нет комментариев
Комментариев: