Дайджест интересных клинических случаев января

Гематома после приема у хиропрактика привела к бедренной невропатии у пациентки с болезнью Виллебранда
Пациентка в возрасте 32 лет с диагностированной в младенчестве болезнью Виллебранда обратилась к врачам с сильной болью в области поясницы и паха (9 из 10 баллов по ВАШ), прогрессирующей слабостью и снижением чувствительности в левой ноге. Ежедневно принимала 350 мг фумарата железа перорально. В 2015 году удален правый яичник, также в течение жизни проводились переливания крови. Сообщила об аллергии на пенициллины и диклофенак.
Симптомы развились в течение шести часов после приема у хиропрактика. В ближайшей клинике ей внутривенно ввели нестероидный противовоспалительный препарат (НПВП). Боль сохранялась, также развилась слабость в левой ноге. При осмотре обнаружены крупные эхимозы на правой руке и в области крестца. Женщина не могла согнуть левую ногу в колене, сила левой ноги оценивалась в 2 из 5 баллов по шкале MRC.
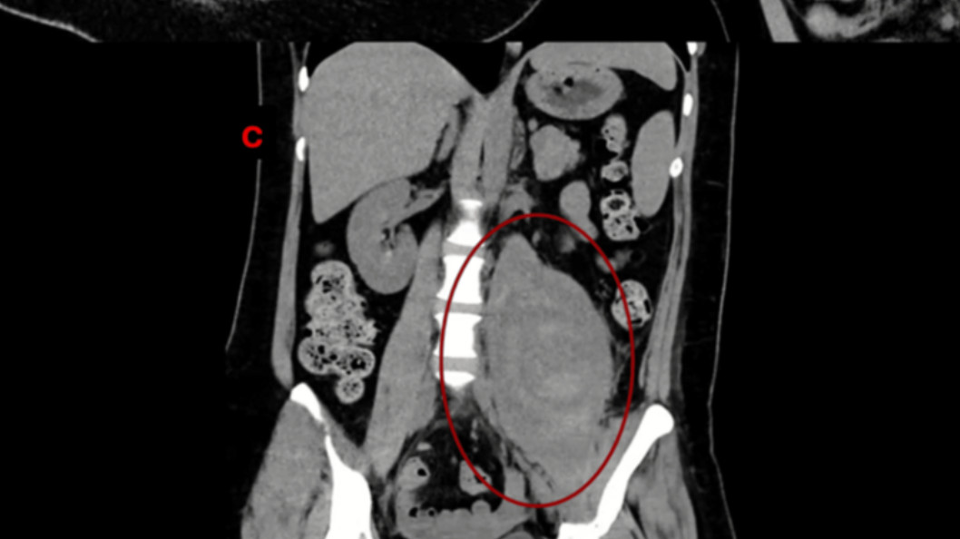
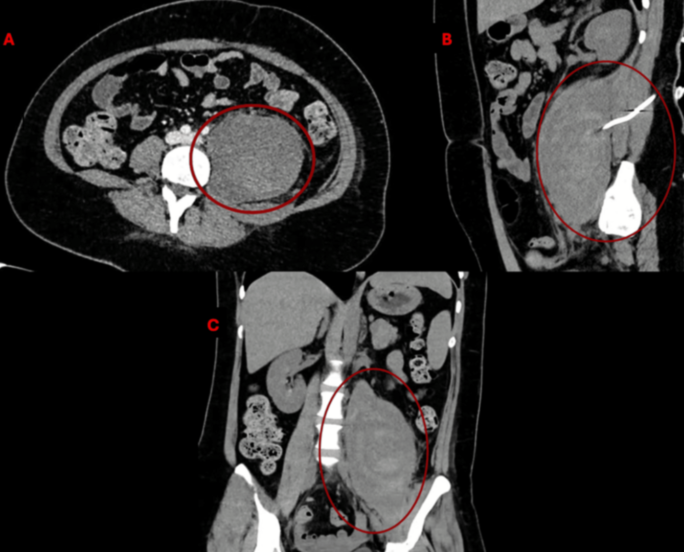
Пациентке провели КТ, МРТ и КТ с контрастом. Была выявлена гематома левой подвздошно-поясничной мышцы объемом 896 мл, сдавливавшая бедренный нерв. Других отклонений не обнаружено. Для дренирования установлен катетер. Спустя три месяца гематома уменьшилась до 257 мл. Боль и слабость в левой ноге разрешались постепенно. Спустя шесть месяцев у пациентки сохранялась парестезия в ноге, боль — 3 из 10 баллов, сила конечности — 4 из 5 баллов. В левой подвздошно-поясничной мышце обнаружена остаточная жидкость объемом 43 мл.

Авторы публикации отметили, что подобные осложнения мануальной терапии у пациентов с коагулопатиями описаны ранее. При наличии нарушений свертываемости крови рекомендуется избегать мануальной терапии, поскольку осложнения и необратимые последствия могут встречаться даже при бережных процедурах.
Лечение обычно включает купирование боли, коррекцию основной коагулопатии с помощью заместительной терапии факторами свертывания, может применяться малоинвазивное дренирование. Раннее выявление имеет решающее значение для предотвращения долгосрочных неврологических последствий. Применение НПВП не рекомендуется из-за риска кровотечений.
Большинство гематом подвздошно-поясничной мышцы склонны рассасываться спонтанно. Авторы привели инструкцию по оценке объема гематомы, исходя из которого принимается решение о необходимости вмешательства.
Пациента в сознании подключили к аппарату ЭКМО из-за невозможности эндотрахеальной интубации
Пациент, 33 года, обратился с жалобами на прогрессирующую позиционную одышку, затруднения с длинными фразами из-за нехватки воздуха и нарушения сна в течение последнего года. При осмотре выявлен двухфазный стридор при нормальной оксигенации (SpO2 97%).
Во время трансназальной трахеоскопии обнаружено рыхлое новообразование в задней среднедистальной части трахеи, занимавшее почти весь просвет. Из-за расположения образования и степени обструкции стандартная эндотрахеальная интубация была невозможна, а трахеостомия признана небезопасной в связи с рисками потери проходимости дыхательных путей и минимальной ожидаемой пользы.

После консультации с анестезиологами и кардиоторакальными хирургами пациент был доставлен в операционную для проведения вено-венозной экстракорпоральной мембранной оксигенации (ВВ-ЭКМО) в сознании с чрескожной канюляцией бедренных сосудов. После этого провели эндоскопическое удаление опухоли под общей анестезией. Был установлен временный трахеальный стент. ЭКМО позволила поддержать уровень оксигенации удаления опухоли.
Проведение ЭКМО прекратили в первый послеоперационный день, а экстубацию провели на следующий день. Гистологическое исследование подтвердило аденокистозную карциному. МРТ показала новообразование размером 5,5 см. Консилиум врачей признал опухоль неоперабельной. Пациента направили на химиолучевую терапию и молекулярно-генетическое тестирование для оценки возможности таргетной терапии.
| Первичные опухоли трахеи составляют менее 0,1% всех злокачественных новообразований, часто выявляются поздно и могут вызывать прогрессирующую обструкцию дыхательных путей. Трахеостомия обычно малоэффективна при поражениях средней или дистальной части трахеи. Кроме того, в этих случаях процедура может привести к кровотечению или отеку. |
Авторы рекомендовали медорганизациям разработать внутренние алгоритмы для подключения к ЭКМО пациентов в сознании при невозможности трахеостомии или интубации. Этот метод должен быть внедрен в любом центре, занимающемся лечением сложных патологий дыхательных путей.
В конце января 2026 года врачи Калужской областной клинической больницы подключили к аппарату ЭКМО 60-летнюю пациентку, находившуюся в сознании.
Кровопускание потребовалось молодому пациенту из-за ассоциированного с вейпингом эритроцитоза
У ранее здорового 21-летнего мужчины при обследовании по поводу неспецифической боли в животе обнаружили повышенный уровень гемоглобина (217 г/л при референсных значениях до 170 г/л). Он жаловался на усталость и ночную потливость, но отрицал наличие лихорадки или симптомов гипервязкости крови: головных болей, головокружения, изменения зрения. При осмотре отклонения не выявлены, SpO2 составила 100%. Пациент отрицал курение или употребление наркотиков, а также прием лекарств или пищевых добавок.
УЗИ брюшной полости, рентгенография грудной клетки и эхокардиография, исследование сна и секвенирование генома не позволили обнаружить отклонения. Пациенту провели несколько флеботомий в связи с сопутствующей усталостью. Процедура включала забор 500 мл цельной крови, хорошо переносилась и приводила к улучшению состояния.
Позже пациент признался, что в течение года ежедневно использовал электронные сигареты, содержащие 20 мг никотина. Его проконсультировали по способам отказа от курения. Уровень гемоглобина нормализовался не сразу после прекращения использования электронных сигарет, и потому в течение шести месяцев пациенту провели еще несколько процедур флеботомии. Через 12 месяцев было отмечено повышение уровня гемоглобина, что совпало с возвратом курения. За период пятилетнего наблюдения уровень гемоглобина пациента оставался в норме, он не возвращался к использованию электронных сигарет.
Авторы отметили, что накоплено достаточно доказательств связи вейпинга с обострениями астмы, эозинофильной пневмонией, эпиглоттитом, бронхитом и острым респираторным дистресс-синдромом. Механизмы этого могут быть связаны с тяжелыми металлами и летучими органическими соединениями в жидкости для вейпов.
Кока-кола помогла эндоскопистам извлечь инородное тело из пищевода мужчины
Мужчина в возрасте 64 лет обратился к врачам с жалобами на внезапно возникшую сильную боль в груди и жжение в горле. Симптомы появились за 15 минут до обращения, во время приема пищи (риса и баранины) в ресторане. Пациент сообщил об ощущении застревания пищи сначала в горле, а затем в груди и невозможности глотать жидкость или твердую пищу. В анамнезе: курение, ишемическая болезнь сердца (ИБС) с предшествующей чрескожным коронарным вмешательством (ЧКВ), рак предстательной железы (с радикальной простатэктомией шесть лет назад и лучевой терапией органов таза три года назад), аппендэктомия 40 лет назад, удаление межпозвонковой грыжи шейного отдела 16 лет назад, депрессия и тревожность. Пациент сообщил о приеме аспирина, клопидогрела, аторвастатина, венлафаксина, алпразолама и пантопразола.
Мужчина был беспокоен, держался за грудь и наклонялся вперед. Слюнотечения не было, дыхание не затруднено. Отмечались тахикардия (115 уд/мин) и тахипноэ (23 вдоха/мин). Острый коронарный синдром был исключен. Рентгенография грудной клетки не выявила инородных тел или признаков перфорации. После внутривенной инфузии пантопразола и физиологического раствора боль в груди уменьшилась. После этого пациент настоял на переводе в гастроэнтерологическую клинику. Он отказался от срочной эндоскопии с интубацией и КТ грудной клетки.
Симптомы пациента сохранялись и через десять часов после инцидента ему провели эндоскопию верхних отделов ЖКТ. Были выявлены двусторонние симметричные язвы пищевода и большой кусок бараньей кости, заключенный в непережеванное мясо. Объект закупоривал просвет пищевода вблизи кардии. С помощью различных инструментов извлечь его не удалось. Тогда врачи прибегли к медленному введению 500 мл кока-колы для размягчения пищевого комка. Это позволило извлечь инородное тело, и пациент был выписан спустя несколько часов. На последующих приемах у него не отмечалось осложнений или новых жалоб, эндоскопия показала полное заживление слизистой оболочки пищевода.
Авторы собрали другие сообщения о применении кока-колы для размягчения инородного тела в верхних отделах пищевода. Все описанные случаи касались пациентов старше 80 лет.

Первая пересадка части лица от донора, ушедшего из жизни с помощью эвтаназии
Пациентке требовалась трансплантация центральной части лица из-за некроза, вызванного бактериальной инфекцией. Подходящим донором оказалась женщина, решившая пожертвовать свои органы, ткани и лицо перед проведением эвтаназии. У донора и реципиента совпали группы крови, параметры головы и другие характеристики. Психиатры и психологи оценили способность ждавшей пересадки пациентки к адаптации, соблюдению режима лечения, преодолению трудностей. Операцию одобрил комитет по этике.
Для планирования трансплантации женщинам провели КТ-сканирование головы и распечатали их анатомические 3D-модели. Также были изготовлены направляющие для рассечения, адаптированные к донору и реципиенту, позволившие достичь высокой точности. Спустя месяц после операции пациентка была выписана для реабилитации и вернулась к нормальной жизни.
В каждой трансплантации лица участвует около 100 специалистов, включая пластических и сосудистых хирургов, трансплантологов, иммунологов, лабораторные службы, психиатров и клинических психологов, реабилитологов, реаниматологов и около 25 медсестер. Длительность операции достигает 24 часов.
Всего в мире проведено 54 трансплантации лица, причем только у 20 центров в мире есть возможность проводить такие вмешательства. Для госпиталя Валь-д’Эброн описанная операция стала третьей, а в 2010 году команда медучреждения провела первую в мире полную трансплантацию лица.















Нет комментариев
Комментариев: 0