Язвенная болезнь (ЯБ) представляет собой хроническое рецидивирующее заболевание, протекающее с чередованием периодов обострения и ремиссии, ведущим проявлением которого служит образование дефекта (язвы) в стенке желудка и ДПК.
Язва желудка или язва ДПК с кровотечением – острое состояние, возникающее в результате продолжающихся деструктивных процессов в язвенном кратере, приводящих к аррозии сосудов в её дне, расположенных в стенке желудка или ДПК, а при пенетрации язвы – за пределами органов, с развитием кровотечения в просвет желудочно-кишечного тракта.
Язва желудка с прободением или язва ДПК с прободением (ПЯ) – острое хирургическое заболевание, возникающее в зоне язвы в результате сквозного разрушения стенки желудка или двенадцатиперстной кишки, с проникновением содержимого в свободную брюшную полость.
Согласно современным представлениям, патогенез ЯБ в общем виде сводится к нарушению равновесия между факторами кислотно-пептической агрессии желудочного содержимого и элементами защиты слизистой оболочки желудка и ДПК [1].
Агрессивное звено язвообразования включает в себя увеличение массы обкладочных клеток (часто наследственно обусловленное), гиперпродукцию гастрина, нарушение нервной и гуморальной регуляции желудочного кислотовыделения, повышение выработки пепсиногена и пепсина, нарушение гастродуоденальной моторики (задержка или, наоборот, ускорение эвакуации из желудка), обсеменение слизистой оболочки желудка микроорганизмами Helicobacter pylori (H. pylori).
Ослабление защитных свойств слизистой оболочки желудка и ДПК может возникнуть в результате снижения выработки и нарушения качественного состава желудочной слизи, уменьшения секреции бикарбонатов, снижения регенераторной активности эпителиальных клеток, ухудшения кровоснабжения слизистой оболочки желудка, уменьшения содержания простагландинов в стенке желудка (например, при приеме нестероидных противовоспалительных и противоревматических препаратов (НПВП).
Решающая роль в развитии ЯБ в настоящее время отводится микроорганизмам H. pylori, обнаруженным в 1983 г. австралийскими учеными Б. Маршаллом (B. Marshall) и Дж. Уорреном (J. Warren).
Спектр неблагоприятного влияния Н. pylori на слизистую оболочку желудка и двенадцатиперстной кишки достаточно многообразен. Эти бактерии вырабатывают целый ряд ферментов (уреаза, протеазы, фосфолипазы), повреждающих защитный барьер слизистой оболочки, а также различные цитотоксины. Наиболее патогенными являются VacA-штамм Н. pylori, продуцирующий вакуолизирующий цитотоксин, приводящий к образованию цитоплазматических вакуолей и гибели эпителиальных клеток, и CagA-штамм, экспрессирующий ген, ассоциированный с цитотоксином. Н. pylori способствуют высвобождению в слизистой оболочке желудка интерлейкинов, лизосомальных энзимов, фактора некроза опухолей, что вызывает развитие воспалительных процессов в слизистой оболочке желудка.
Обсеменение слизистой оболочки желудка Н. pylori сопровождается развитием поверхностного антрального гастрита и дуоденита и ведет к повышению уровня гастрина с последующим усилением секреции соляной кислоты. Избыточное количество соляной кислоты, попадая в просвет двенадцатиперстной кишки, в условиях относительного дефицита панкреатических бикарбонатов способствует прогрессированию дуоденита и, кроме того, обусловливает появление в ДПК участков желудочной метаплазии (перестройки эпителия дуоденальной слизистой оболочки по желудочному типу), которые быстро заселяются Н. pylori. В дальнейшем при неблагоприятном течении, особенно при наличии дополнительных этиологических факторов (наследственная предрасположенность, 0 (I) группа крови, курение, нервно-психические стрессы и др.), в участках метаплазированной слизистой оболочки формируется язвенный дефект. Ассоциированными с Н. pylori оказываются около 80% язв ДПК и 60% язв желудка [2]. Н. pylori-негативные язвы чаще всего бывают обусловлены приемом нестероидных противовоспалительных и противоревматических препаратов.
Показано, что 11-14% мужчин и 8-11% женщин в течение своей жизни могут заболеть ЯБ [3]. В США ежегодно выявляют 500 000 пациентов с впервые обнаруженной ЯБ и более 4 млн. пациентов с рецидивами заболевания [2, 4]. ЯБ с локализацией в ДПК встречается в 4 раза чаще, чем ЯБ с локализацией в желудке. Среди пациентов с дуоденальными язвами мужчины преобладают над женщинами, тогда как среди пациентов с язвами желудка соотношение мужчин и женщин оказывается примерно одинаковым [5].
В последние годы отмечена тенденция к снижению госпитализации пациентов с неосложненными формами ЯБ как в зарубежных странах [6], так и в России. Анализ частоты и распространенности ЯБ в Российской Федерации по статистическим данным Министерства здравоохранения РФ за период с 2006 по 2017 г. показал, что заболеваемость ЯБ снизилась со 128,7 до 79,5 на 100 000 населения [7, 8]. В то же время во всем мире отмечено увеличение частоты осложнений ЯБ (кровотечений, перфорации), что обусловливается растущим приемом НПВП [6]. В Великобритании от осложнений язвенных поражений желудка и двенадцатиперстной кишки, связанных с приемом НПВП, ежегодно погибает более 2000 пациентов, в США – более 16 500 пациентов [9].
В Европе заболеваемость ПЯ за последний 10-летний период снизилась с 9,7 до 5,6 на 100 тыс. населения [103, 104, 105]. В России за этот же период заболеваемость ПЯ снизилась с 26,9 до 17,1 на 100 тысяч населения. В 2018 году в федеральных округах РФ заболеваемость ПЯ колебалась от 11,7 человек до 19,5 человек на 100 тысяч населения. В городе Москве по состоянию на 31 декабря 2018 года, заболеваемость ПЯ составила 9,7 человек на 100 тысяч населения [106, 107, 108, 109].
Соотношение мужчин и женщин при ПЯ составляет 2:1. Основная часть больных - лица молодого и среднего возраста [104, 105, 106, 108].
В Российской Федерации количество пациентов с кровотечениями из хронических язв желудка и 12-перстной кишки составляет 90-160 человек на 100 000 населения и не имеет отчетливой тенденции к снижению [10, 11, 200]. Несмотря на то, что в последние годы отмечается уменьшение случаев госпитализации пациентов с неосложненными формами ЯБ как в зарубежных странах [12], так и в России, отмечается увеличение частоты осложнений ЯБ (кровотечений и перфораций), что обусловливается растущим приемом НПВП [10]. В 2022 году в Российской Федерации было госпитализировано 47 483 пациента с ЯГДК. Хирургическое вмешательство предпринято у 5 746 пациентов (хирургическая активность – 12,1%). Общая летальность составила 5,87%, послеоперационная – 16,92% [10]. В последние годы наметилась тенденция к снижению общей летальности при язвенных гастродуоденальных кровотечениях за счет совершенствования методов эндоскопического и эндоваскулярного гемостаза, а также благодаря эффективности современных схем медикаментозной противоязвенной терапии [13, 14, 15].
Язва желудка (К25)
К25.0 – острая с кровотечением
К25.1 – острая с прободением
К25.2 – острая с кровотечением и прободением
К25.3 – острая без кровотечения и прободения
К25.4 – хроническая или неуточненная с кровотечением
К25.5 – хроническая или неуточненная с прободением
К25.6 – хроническая или неуточненная с кровотечением и прободением
К25.7 – хроническая без кровотечения и прободения
К25.9 – не уточненная как острая или хроническая без кровотечения и прободения
Язва двенадцатиперстной кишки (К26)
К26.0 – острая с кровотечением
К26.1 – острая с прободением
К26.2 – острая с кровотечением и прободением
К26.3 – острая без кровотечения и прободения
К26.4 – хроническая или неуточненная с кровотечением
К26.5 – хроническая или неуточненная с прободением
К26.6 – хроническая или неуточненная с кровотечением и прободением
К26.7 – хроническая без кровотечения и прободения
К26.9 – не уточненная как острая или хроническая без кровотечения и прободения
Пептическая язва неуточненной локализации (К27)
К27.0 – острая с кровотечением
К27.4 – хроническая или неуточненная язва с кровотечением
Гастроеюнальная язва (К28)
К28.0 – острая с кровотечением
К28.4 – хроническая или неуточненная с кровотечением
Другие болезни желудка и двенадцатиперстной кишки (К31)
К31.1 – гипертрофический пилоростеноз у взрослых
К31.2 – стриктура в виде песочных часов и стеноз желудка
К31.6 – свищ желудка и двенадцатиперстной кишки
К31.9 – болезнь желудка и двенадцатиперстной кишки неуточненная
Общепринятой классификации ЯБ не существует.
Прежде всего, в зависимости от наличия или отсутствия инфекции Н. pylori выделяют ЯБ, ассоциированную и не ассоциированную с инфекцией Н. pylori. Последнюю форму иногда называют идиопатической. Также различают ЯБ как самостоятельное заболевание (эссенциальная язвенная болезнь) и симптоматические язвы желудка и ДПК (лекарственные, «стрессовые», при эндокринной патологии, при других хронических заболеваниях внутренних органов), которые возникают на фоне других заболеваний и по механизмам своего развития связаны с особыми этиологическими и патогенетическими факторами [17].
В зависимости от локализации выделяют язвы желудка (кардиального и субкардиального отделов, тела желудка, антрального отдела, пилорического канала), язвы ДПК (луковицы, постбульбарного отдела, а также сочетанные язвы желудка и ДПК. При этом язвы могут располагаться на малой или большой кривизне, передней и задней стенках желудка и двенадцатиперстной кишки.
По числу язвенных дефектов различают одиночные и множественные язвы, а в зависимости от размеров дефекта – язвы малых (до 5 мм в диаметре), средних (6-19 мм), больших (20-30 мм в диаметре) размеров и гигантские язвы (свыше 30 мм в диаметре).
При формулировке диагноза отмечаются стадия течения заболевания (обострение, заживление, ремиссия (рубцевание), а также имеющаяся рубцово-язвенная деформация желудка и/или ДПК и степень её выраженности; указывается наличие осложнений ЯБ (в том числе, и анамнестических): кровотечения, прободения, пенетрации, рубцово-язвенного стеноза, а также характер оперативных вмешательств, если они проводились.
Эндоскопическая классификация стадий течения язвенного процесса по Sakita-Miwa
|
A1 |
H1
|
S1
|
|
A2
|
H2 |
S2 |
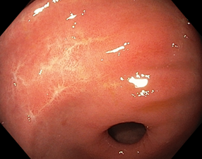
Рисунок 1. Стадии регрессии (заживления) язвы желудка и их характерные черты:
A (Active). Активная стадия (обострение)
A1. Слизистая оболочка, окружающая язву, выглядит набухшей в результате отёка, регенерация эпителия отсутствует.
A2. Отёк слизистой оболочки вокруг язвы уменьшился, край язвы отчётливо виден и в крае язвы появились первые ростки регенерирующего эпителия. По периметру язвы часто прослеживается красный ободок, а непосредственно по краю – циркулярный белый струп. Обычно, сходящиеся складки слизистой оболочки прослеживаются вплоть до края язвы.
H (Healing). Стадия заживления
H1. Слой белого фибрина, покрывающий язву, становится тонким, а регенерирующий эпителий распространяется непосредственно на основание язвы. Градиент между краем и дном язвы сглаживается. Но кратер язвы все еще очевиден, и край язвы отчётливо виден. Диаметр язвенного дефекта составляет примерно от половины до двух третей диаметра язвы в стадии A1.
H2. Язвенный дефект меньше, чем в стадии H1, и регенерирующий эпителий покрывает большую часть дна язвы. Площадь слоя белого фибрина составляет примерно от четверти до трети площади язвы в стадии А1.
S (Scarring). Стадия рубца
S1. Регенерирующий эпителий полностью покрывает дно язвы. Белый слой фибрина полностью исчез. Первоначально зона регенерации выглядит ярко красной. При прицельном осмотре можно увидеть большое количество капилляров. Сформировался "красный рубец".
S2. В срок от нескольких месяцев до нескольких лет исходно красный рубец принимает цвет окружающей слизистой оболочки. Сформировался «белый рубец».
По степени тяжести кровотечения, наиболее распространённой в нашей стране, является классификация А.И. Горбашко 1982 г. (приложение Г1) [16], использующая 3-х степенную градацию, выделяющая лёгкую, среднюю и тяжёлую степень кровотечения, учитывающая при этом, как объём перенесенной кровопотери, так и состояние самого больного. Шкала тяжести кровопотери американского колледжа хирургов (приложение Г2) выделяет 4 класса (степени) кровопотери – лёгкую, умеренную, среднюю и тяжёлую [19].
Для характеристики язвы – источника ЯГДК, по результатам эндоскопического исследования общепринято использование классификации J.F.Forrest (1974г.) (приложение Г5).
Для классификации ПЯ в России наиболее простой и удобной для практического использования является классификация ПЯ, предложенная В.С. Савельевым в 2005 году [110]. Основные классификационные характеристики ПЯ по В.С. Савельеву, с дополнениями 2015 года:
1. По этиологии: прободение хронической и острой язвы (гормональной, стрессовой или др.);
2. По локализации:
а) язвы желудка (с указанием анатомического отдела);
б) язвы двенадцатиперстной кишки (с указанием анатомического отдела);
3. По клинической форме:
а) прободение в свободную брюшную полость (типичное, прикрытое);
б) атипичное прободение (в сальниковую сумку, малый или большой сальник – между листками брюшины, в забрюшинную клетчатку, в изолированную спайками полость);
в) сочетание прободения с другими осложнениями язвенного процесса (кровотечение, стеноз, пенетрация, малигнизация);
4. По выраженности перитонита (согласно действующей классификации – см. Национальные рекомендации «Абдоминальная хирургическая инфекция», 2011).
Ведущим симптомом обострения ЯБ является боль в подложечной области, которая может иррадиировать в левую половину грудной клетки и левую лопатку, грудной или поясничный отдел позвоночника. Боль возникает сразу после приема пищи (при язвах кардиального и субкардиального отделов желудка), через полчаса-час после еды (при язвах тела желудка). При язвах пилорического канала и луковицы ДПК обычно наблюдается поздняя боль (через 2-3 часа после еды), «голодная» боль, возникающая натощак и проходящая после приема пищи, а также ночная боль. Боль проходит после приема антисекреторных и антацидных препаратов [5].
При обострении ЯБ часто встречаются также отрыжка кислым, тошнота, запоры. Рвота кислым желудочным содержимым, приносящая облегчение и потому вызываемая пациентами искусственно, всегда считалась признаком ЯБ, однако, в настоящее время она встречается сравнительно редко. При обострении заболевания нередко отмечается похудание, поскольку, несмотря на сохраненный, а иногда даже повышенный аппетит, пациенты ограничивают себя в еде, опасаясь усиления болей.
Клинические симптомы, наблюдаемые при обострении язвенной болезни, не являются патогномоничными и могут встречаться при других заболеваниях (например, хроническом гастрите и дуодените с синдромом функциональной диспепсии), поэтому диагноз ЯБ должен обязательно подтверждаться инструментальными методами исследования.
В период обострения ЯБ при объективном исследовании часто удается выявить болезненность в эпигастральной области при пальпации, сочетающуюся с умеренной резистентностью мышц передней брюшной стенки. Также может обнаруживаться локальная перкуторная болезненность в этой же области (симптом Менделя). Однако эти признаки не являются строго специфичными для обострения ЯБ.
Типичными для ЯБ являются сезонные (весной и осенью) периоды усиления боли и диспепсических симптомов.
В неосложненных случаях ЯБ протекает обычно с чередованием периодов обострения (продолжительностью от 3-4 до 6-8 недель) и ремиссии (длительностью от нескольких недель до многих лет). Под влиянием неблагоприятных факторов (например, таких, как физическое перенапряжение, прием НПВП и/или препаратов, снижающих свертываемость крови, злоупотребление алкоголем) возможно развитие осложнений.
К ним относятся кровотечение, перфорация и пенетрация язвы, формирование рубцово-язвенного стеноза, малигнизация язвы).
Клинические проявления язвенных гастродуоденальных кровотечений (ЯГДК) можно разделить на две группы симптомов: общие признаки кровопотери (слабость, головокружение, потеря сознания, холодный липкий пот, снижение артериального давления, тахикардия) и симптомы, обусловленные попаданием крови в просвет желудочно-кишечного тракта. Для ЯГДК характерно его возникновение на фоне обострения язвенной болезни с присущим ей болевым синдромом. Как правило, больные отмечают внезапное исчезновение болей в момент развития кровотечения. Рвота малоизменённой кровью со сгустками или содержимым типа «кофейной гущи» (гематемезис) более характерна для кровотечения из язвы желудка, а чёрный дёгтеобразный стул (мелена) — для кровотечения из язвы ДПК, хотя преобладание тех или иных признаков во многом связано с темпом кровопотери. Кровопотеря в 100 мл может привести к появлению черного, но оформленного кала. «Истинная» мелена (дегтеобразный, т.е. черный и жидкий стул) у взрослого человека возникает при кровопотере объемом около 500 мл. Быстрая и массивная кровопотеря в просвет кишки может проявиться гематохезией – выделением через задний проход крови со сгустками.
При объективном обследовании выявляются: измененное поведение больного (беспокойство, испуг или апатия, сонливость, при тяжелой степени кровопотери – психомоторное возбуждение, бред, галлюцинации); бледность кожных покровов, изменения пульса (частый, слабого наполнения); АД имеет тенденцию к снижению в зависимости от степени кровопотери; дыхание учащено. Пальцевое исследование прямой кишки, являющееся обязательным при подозрении на желудочно-кишечное кровотечение, помогает выявить изменение окраски кала.
Характерными клиническими признаками перфорации (прободения) язвы (ПЯ) являются:
Острое начало заболевания с «кинжальной» болью в животе (симптом Дьелафуа).
Напряжение мышц живота («доскообразный живот»).
Боль при пальпации живота.
Положение пациента вынужденное с согнутыми коленями, боль усиливается при движении, страдальческое выражение лица, кожные покровы бледные, губы цианотичны, сухость слизистой рта и губ.
Артериальное давление снижено на 5-10%, пульс замедлен (симптом Грекова), дыхание частое, поверхностное.
Передняя брюшная стенка напряжена («доскообразное» напряжение), в первый час заболевания отмечается резкая боль в эпигастрии и мезогастрии – 92% [111].
В первый час заболевания появляются положительные симптомы раздражения брюшины: Щеткина-Блюмберга, Воскресенского, Раздольского – 98%.
При перкуссии живота появляется резкая боль. Можно установить исчезновение печеночной тупости (симптом Кларка) и появление высокого тимпанита над печенью (симптом Спижарного) – 37%. При наличии жидкости в нижних и боковых отделах живота определятся притупление или тупость перкуторного звука (симптом Де Кервена).
Результаты физикального обследования могут быть противоречивыми, так как симптомы перитонита наблюдаются у 35-50% пациентов с ПЯ. Чаще это происходит при прикрытой перфорации язвы или у пациентов с атипичной локализацией процесса. Боль в животе менее выражена при перфорации язв задней стенки двенадцатиперстной кишки и кардиального отдела желудка, когда его содержимое попадает в забрюшинную клетчатку или сальниковую сумку [112, 113, 114, 115, 181].
Под пенетрацией понимают проникновение язвы желудка или ДПК в окружающие ткани: поджелудочную железу, малый сальник, желчный пузырь и общий желчный проток. При пенетрации язвы возникает упорная боль, которая теряет прежнюю связь с приемом пищи, повышается температура тела, в анализах крови выявляется повышение СОЭ. Наличие пенетрации язвы подтверждается рентгенологически и эндоскопически.
Стеноз привратника формируется обычно после рубцевания язв, расположенных в пилорическом канале или начальной части ДПК. Нередко развитию данного осложнения способствует операция ушивания прободной язвы данной области. Наиболее характерными клиническими симптомами стеноза привратника являются рвота пищей, съеденной накануне, а также отрыжка с запахом сероводорода. При пальпации живота в подложечной области можно выявить «поздний шум плеска» (симптом Василенко), у худых пациентов становится иногда видимой перистальтика желудка. При декомпенсированном стенозе привратника может прогрессировать истощение пациентов, присоединяются электролитные нарушения.
Малигнизация (озлокачествление) доброкачественной язвы желудка является не таким частым осложнением, как считалось раньше. За малигнизацию язвы нередко ошибочно принимаются случаи своевременно не распознанного инфильтративно-язвенного рака желудка. Диагностика малигнизации язвы не всегда оказывается простой. Клинически иногда удается отметить изменение характера течения ЯБ с утратой периодичности и сезонности обострений. В анализах крови обнаруживаются анемия, повышение СОЭ. Окончательное заключение ставится при гистологическом исследовании биоптатов, взятых из различных участков язвы.
Определенные особенности клинической картины присущи симптоматическим язвам, возникающим на фоне других заболеваний или при приеме лекарственных препаратов [17].
Так, к «стрессовым» гастродуоденальным язвам относят острые, обычно множественные язвы желудка и ДПК, возникающие при распространенных ожогах (язвы Курлинга), после черепно-мозговых травм и нейрохирургических операций (язвы Кушинга), после обширных полостных операций, особенно связанных с трансплантацией органов, при остром инфаркте миокарда, у пациентов с терминальной стадией хронической почечной и печеночной недостаточности и других критических состояниях. «Стрессовые» язвы обычно бывают острыми, множественными, часто протекают малосимптомно, отличаются наклонностью к желудочно-кишечным кровотечениям и характеризуются высокой летальностью, обусловленной часто тяжелым течением фонового заболевания.
Среди лекарственных язв желудка и двенадцатиперстной кишки наибольшее значение имеют острые эрозивно-язвенные поражения, связанные с приемом НПВП (НПВП-гастропатия), блокирующих фермент циклооксигеназу-1, отвечающий за синтез простагландинов в стенке желудка. Гастродуоденальные язвы возникают у 20-25% пациентов, длительно принимающих НПВП, эрозивные поражения – более чем у 50% пациентов. К факторам риска их развития относятся пожилой возраст пациентов, наличие в анамнезе ЯБ, сопутствующие заболевания сердечно-сосудистой системы и печени, высокая доза НПВП, одновременный прием антикоагулянтов.
Гастродуоденальные язвы и эрозии, обусловленные приемом НПВП, также часто имеют множественный характер, нередко протекают малосимптомно и манифестируются внезапными желудочно-кишечными кровотечениями (меленой или рвотой содержимым типа «кофейной гущи»). Риск их развития у таких пациентов возрастает в 4-5 раз [19].
Критерии установления диагноза заболевания/состояния:
Диагноз язвенной болезни устанавливается на основании
1) анамнестических данных (характерные жалобы, выявление язвенной болезни прежде)
2) непосредственного обследования (обнаружение болезненности и резистентности мышц брюшной стенки при пальпации)
3) инструментального обследования (обнаружение язвенного дефекта при эндоскопическом и рентгенологическом исследовании желудка и ДПК
Диагностическая программа при ЯГДК должна: 1) установить факт острого кровотечения в просвет верхних отделов ЖКТ; 2) выявить источник кровотечения; 3) определить степень тяжести кровопотери. При угрожающих жизни кровотечениях диагностические исследования должны быть проведены параллельно с неотложными лечебными мероприятиями.
Критерии установления диагноза:
Диагноз острого ЯГДК устанавливается на основании совокупности общих клинических признаков кровопотери; признаков кровотечения в просвет ЖКТ; анамнестических и лабораторных данных, подтвержденными результатами ЭГДС. При поступлении в стационар пациент должен быть сразу осмотрен врачом-хирургом и проведена неотложная лабораторная диагностика.
Пациентам с ЯГДК для определения степени тяжести кровопотери рекомендуется использовать классификацию А.И. Горбашко, 1982 г. [16] (приложение Г1), оценочную шкалу ACS (American College of Surgeons) [1] (приложение Г2) [16, 19]
Уровень убедительности рекомендации С (уровень достоверности доказательств – 5).
Пациентам с ЯГДК для определения степени тяжести кровопотери рекомендуется использовать Шоковый индекс (Приложение Г7) [20].
Уровень убедительности рекомендации С (уровень достоверности доказательств – 4).
У пациентов с ЯГДК рекомендуется оценить риск рецидива кровотечения по совокупности клинических и эндоскопических данных [11, 15, 21, 22].
Уровень убедительности рекомендации С (уровень достоверности доказательств – 4).
Комментарий. Критериями высокого риска рецидива кровотечения являются клинические (коллапс в анамнезе, тяжелая кровопотеря, тяжелая сопутствующая патология) и лабораторные признаки, отражающие в основном интенсивность кровотечения, а также эндоскопические признаки (кровотечения типа FIA-B, FIIA-B, глубина, размеры и локализация язвы) [11, 15, 21]. Для оценки риска рецидива ЯГДК и определения дальнейшей лечебной тактики могут быть использованы шкалы AIMS65 (приложение Г3), Glasgo-Blathford Bleeding Score (Приложение Г4) и многократно валидированная шкала Rockall (Приложение Г6).
Характерные для пациентов с ЯБ жалобы и данные анамнеза указаны в подразделе 1.6.
У пациента с признаками кровотечения из верхних отделов ЖКТ рекомендуется выполнить анализ жалоб, анамнеза заболевания и анамнеза жизни на этапе поступления в стационар, но это не должно приводить к задержке неотложных диагностических и лечебных мероприятий [12, 13, 14, 19, 21, 23].
Уровень убедительности рекомендации С (уровень достоверности доказательств – 5).
Комментарий. Важно выяснить, как давно началось кровотечение; отмечалось ли предобморочное состояние, потеря сознания; имелись единичные или повторные эпизоды кровавой рвоты, объём и характер рвотных масс (алая или тёмная кровь, сгустки, содержимое типа “кофейной гущи”); частоту эпизодов мелены. Нередко (у 60-70% пациентов), анамнез указывает на наличие «неязвенных» заболеваний, которые могут осложниться кровотечением из верхних отделов желудочно-кишечного тракта (опухоли желудка, цирроз печени, синдром Мэллори-Вейсса и др.). У значительного числа больных с ЯГДК кровотечение возникает на фоне обострения язвенной болезни или в анамнезе удается отметить типичные признаки этого заболевания с характерным “язвенным” болевым синдромом и сезонностью обострений. У ряда больных можно встретить указания на неэффективность проведенного ранее хирургического лечения, когда вновь появившийся болевой синдром следует связать прежде всего с образованием пептической язвы.
Необходимо выявить состояния, которые могут обусловить развитие острого ЯГДК: тяжелые сопутствующие заболевания (ИБС, инфаркт миокарда, сердечная недостаточность, нарушение мозгового кровообращения, почечная и печеночная недостаточность, онкологические и гематологические заболевания); лечение антитромботическими средствами (Код АТХ: B01A).
При поступлении в приёмное отделение пациента с подозрением на ПЯ рекомендуется осмотр врача-хирурга с целью исключения или подтверждения данного диагноза и определения дальнейшей тактики [108, 110].
Уровень убедительности рекомендации С (уровень достоверности доказательств – 5).
Врачу при опросе пациента с подозрением на ПЯ рекомендуется обратить внимание на наличие симптома Дьелафуа (острую «кинжальную» боль в животе) и язвенный анамнез [108, 110].
Уровень убедительности рекомендации С (уровень достоверности доказательств – 5).
Комментарий. внезапно возникшая интенсивная «кинжальная» боль связана с прорывом содержимого желудка или двенадцатиперстной кишки в брюшную полость и раздражением брюшины.
Характерные для пациентов с ЯБ данные физикального обследования приведены в подразделе 1.6.
Пациенту с признаками кровотечения из верхних отделов ЖКТ рекомендуется провести обследование при поступлении, включающее оценку всех основных систем организма; трансректальное пальцевое исследование (A01.19.004); в необходимых случаях – зондирование желудка [12, 13, 14, 15, 19, 21, 23].
Уровень убедительности рекомендации С (уровень достоверности доказательств – 5).
Комментарий. Данные объективного обследования в совокупности с жалобами и анамнезом, уже на этапе поступления пациента позволяют судить о степени тяжести и предполагаемом источнике кровотечения, сопутствующих заболеваниях. Спутанное сознание, резкая бледность кожных покровов и конъюнктивы, частый пульс слабого наполнения и напряжения, снижение артериального и пульсового давления, наличие в желудке большого количества крови и сгустков, а при ректальном исследовании – чёрного жидкого, либо с примесью крови содержимого служат признаками острого массивного кровотечения.
Осмотр кожных покровов и видимых слизистых оболочек может выявить их субъиктеричность или желтушность, наличие сосудистых звёздочек, расширение подкожных вен переднебоковых отделов живота, что обычно бывает при заболеваниях печени; внутрикожные или подкожные кровоизлияния, множественные телеангиэктазии при заболеваниях кровеносных сосудов и нарушениях свертывающей системы крови. Клиническими наблюдениями проверено, что АД ниже 100 мм рт. ст. и частота пульса более 100 ударов в минуту у больного с нормальным обычным давлением соответствуют кровопотере около 20% ОЦК. Перкуссия (A01.16.004) и пальпация (A01.16.003) в ряде случаев позволяет выявить опухоль желудка, увеличение печени и селезенки, признаки асцита, увеличенные плотные лимфатические узлы. Осмотр больного необходимо закончить пальцевым исследованием прямой кишки, а затем зондированием желудка. Полученные при этом объективные данные, независимо от наличия или отсутствия анамнестических указаний на кровавую рвоту и дегтеобразный стул, являются важными признаками, обосновывающими клинический диагноз.
Всем пациентам с ЯБ с целью исключения анемии как следствия скрытых язвенных кровотечений рекомендуется выполнение общего (клинического) анализа крови (В03.016.002) [19].
Уровень убедительности рекомендаций С (уровень достоверности доказательств – 4).
Комментарии. Клинический анализ крови при неосложненном течении ЯБ чаще всего остается без существенных изменений, но может обнаруживаться и анемия, свидетельствующая о явных или скрытых кровотечениях.
Всем пациентам с ЯБ с целью исключения скрытых язвенных кровотечений рекомендуется проведение исследования кала на скрытую кровь [24].
Уровень убедительности рекомендаций В (уровень достоверности доказательств – 2).
Комментарий. Определенное место в диагностике обострений ЯБ занимает анализ кала на скрытую кровь. При интерпретации его результатов необходимо помнить, что положительная реакция кала на скрытую кровь встречается и при многих других заболеваниях, что требует их обязательного исключения.
У пациентов с рефрактерным течением язвенной болезни c целью исключения синдрома Золлингера-Эллисона рекомендуется исследование уровня гастрина сыворотки крови [25].
Уровень убедительности рекомендаций С (уровень достоверности доказательств – 5).
Комментарий. Патогенез гастродуоденальных язв при синдроме Золлингера-Эллисона связан с резкой гиперсекрецией соляной кислоты в результате наличия у пациентов гастринпродуцирующей опухоли (чаще всего в поджелудочной железе). Эти язвы обычно бывают множественными, локализуются не только в желудке и двенадцатиперстной кишке, но и в тощей кишке, а иногда и пищеводе, протекают с выраженным болевым синдромом, упорной диареей. При обследовании таких пациентов отмечается резко повышенный уровень желудочного кислотовыделения (особенно в базальных условиях), определяется увеличенное содержание сывороточного гастрина (в 3-4 раза по сравнению с нормой). В распознавании синдрома Золлингера-Эллисона помогают провокационные тесты (с секретином, глюкагоном), ультразвуковое исследование и КТ поджелудочной железы, эндосонография желудка.
Лабораторные исследования у пациентов с ЖКК, как правило, включают определение в экстренном порядке групп крови по системе AB0, системы Резус (резус-фактор), Kell-принадлежности; выполнить общий (клинический) анализ крови; исследование уровня натрия в крови, исследование уровня калия в крови, исследование уровня хлоридов в крови, исследование кислотно-основного состояния газов крови, исследование уровня осмолярности (осмоляльности) крови; исследование уровня мочевины в крови, исследование уровня креатинина в крови, определение протромбинового (тромбоплатинового) времени в крови или в плазме, определение международного нормализованного отношения, исследование уровня фибриногена в крови; исследование уровня глюкозы в крови, исследование уровня общего белка в крови, исследование уровня альбумина в крови, исследование уровня общего билирубина в крови, определение активности аланинаминотрансферазы в крови, определение активности аспартатаминотрансферазы в крови) [12, 13, 14, 15, 19, 21, 23].
Падение уровня гемоглобина, уменьшение числа эритроцитов, снижение гематокрита, несомненно ориентируют в отношении тяжести кровопотери. Однако в первые часы от начала острого кровотечения, даже при его интенсивном характере, гемодилюция не успевает развиться и поэтому все эти показатели могут меняться несущественно. Кроме анемии в результате острой кровопотери и действия крови, излившейся в просвет пищеварительного тракта, нередко отмечается умеренный лейкоцитоз и гипербилирубинемия (за счет непрямой фракции), повышение уровня мочевины при нормальных значениях креатинина, что связано с синдромом всасывания крови в кишечнике.
Исследование ОЦК и его компонентов, с использованием красителей и радиоизотопов, в настоящее время практически не используется. Тяжесть состояния больного и его индивидуальные реакции на перенесенную кровопотерю, достаточно точно характеризует ряд показателей центральной гемодинамики, транспорта кислорода, а также метаболические нарушения (мочевина крови, электролиты, КЩС, осмолярность плазмы и др.).
Кровопотеря, в особенности тяжелой степени, может привести к гипокоагуляции с удлинением времени свертывания крови, снижением уровня протромбина и фибриногена вплоть до развития острого фибринолиза.
Всем пациентам с подозрением на ЯБ, при отсутствии противопоказаний, с целью подтверждения диагноза рекомендуется проведение эзофагогастродуоденоскопии (ЭГДС) (А.03.16.001) [2].
Уровень убедительности рекомендаций С (уровень достоверности доказательств – 5).
Комментарий. Плановое эндоскопическое исследование подтверждает наличие язвенного дефекта, уточняет его локализацию, форму, размеры, глубину, состояние дна и краев язвы, позволяет выявить признаки пенетрации, рубцовой деформации и стенозирования просвета органа. Плановое эндоскопическое исследование дает возможность обнаружить другие сопутствующие изменения слизистой оболочки и определить нарушения гастродуоденальной моторики. Для оценки стадии язвенного процесса (обострение, заживление, рубцевание) целесообразно использовать общепринятую в мире классификацию Sakita-Miwa (рис.1).
При локализации язвы в желудке во всех случаях необходимо проводить множественную (не менее 6 фрагментов) щипцовую биопсию из наиболее изменённых краев язвенного дефекта с последующим морфологическим исследованием биопсийного материала, позволяющим исключить, либо подтвердить злокачественный характер язвенного поражения.
При локализации язвы в ДПК необходимость в выполнении биопсии из краёв язвенного дефекта обычно отсутствует так как подобные язвы крайне редко бывают злокачественными. Доброкачественные язвы ДПК следует дифференцировать с изъязвленными формами нейроэндокринных и субэпителиальных опухолей, а также с прорастанием в ДПК опухоли соседних органов, чаще всего - поджелудочной железы. В этих случаях выполнение биопсии безусловно необходимо.
Пациентам с язвой желудка нужно выполнить контрольное эндоскопическое исследование с повторным взятием множественной (не менее 6 фрагментов) щипцовой биопсии по окончании курса консервативного лечения. Это, в первую очередь, касается пациентов, у которых сохраняются симптомы язвенной болезни, несмотря на соответствующий курс медикаментозной терапии, либо этиология язвы остается недостаточно ясной.
Пациентам с язвой ДПК целесообразно выполнить контрольное эндоскопическое исследование в тех случаях, когда сохраняется отчетливая клиническая симптоматика, несмотря на проведенное лечение, для исключения рефрактерной язвенной болезни и непептической этиологии язвы.
Пациентам с подозрением на ЯБ, которым невозможно выполнение эндоскопического исследования, с целью подтверждения диагноза рекомендуется проведение рентгенографии желудка и двенадцатиперстной кишки [26].
Уровень убедительности рекомендаций В (уровень достоверности доказательств – 2).
Комментарий. При рентгенологическом исследовании обнаруживаются прямой признак ЯБ – «ниша» на контуре или на рельефе слизистой оболочки и косвенные признаки заболевания (местный циркулярный спазм мышечных волокон на противоположной по отношению к язве стенке желудка в виде «указующего перста», конвергенция складок слизистой оболочки к «нише», рубцово-язвенная деформация желудка и луковицы ДПК, гиперсекреция натощак, нарушения гастродуоденальной моторики).
В настоящее время к рентгенологическому исследованию с целью диагностики ЯБ прибегают не столь часто, как раньше. Его применяют в тех случаях, когда по каким-то причинам (например, наличие противопоказаний) не удается провести эндоскопическое исследование, когда с целью дифференциального диагноза с инфильтративно-язвенной формой рака необходимо оценить перистальтику стенки желудка, когда нужно уточнить характер эвакуации из желудка.
Диагностика ПЯ. Инструментальные методы обследования позволяют выявить характерные признаки ПЯ: свободный газ в брюшной полости, свободную жидкость в брюшной полости, наличие и локализацию язвы, и прободное отверстие.
Всем пациентам с подозрением на ПЯ рекомендуется выполнить обзорную рентгенографию органов брюшной полости для обнаружения свободного газа [103, 112, 113, 114, 115, 116, 117, 119, 181].
Уровень убедительности рекомендации B (уровень достоверности доказательств – 2).
Комментарий. Диагностическая точность обзорной рентгенографии варьирует от 30% до 85%. Исследование проводится в вертикальном положении. Газ в свободной брюшной полости определяется на рентгенограмме в виде серповидной прослойки между диафрагмой и печенью, диафрагмой и желудком. При тяжелом состоянии пациента исследование можно провести в положении на боку. Но и отрицательный рентгеновский снимок не исключает возможной перфорации. В связи с этим ряд авторов считают, что в случае явных признаков перитонита первым из рентгенологического исследования должна быть компьютерная томография брюшной полости.
Всем пациентам с подозрением на ПЯ при не информативности других диагностических методов и при наличии технической возможности в медицинской организации рекомендуется проведение компьютерной томографии (КТ) органов брюшной полости [112, 113, 115, 118, 119, 120].
Уровень убедительности рекомендации B (уровень достоверности доказательств – 2).
Комментарий. КТ органов брюшной полости при ПЯ имеет высокую диагностическую точность – 98% [112, 115, 118, 119]. КТ позволяет выявить: свободный газ в брюшной полости, свободную жидкость в брюшной полости, утолщение желудочной или дуоденальной стенок в зоне язвы, обнаружить язву и перфоративное отверстие [112, 115,118, 119, 120, 121, 181].
Пациентам с подозрением на ПЯ при отсутствии признаков свободного газа в брюшной полости по данным лучевых методов исследования рекомендуется пероральное или через назогастральный зонд введение водорастворимого контрастного препарата (V08A Рентгеноконтрастные средства, содержащие йод) с проведением рентгенологического исследования (обзорная рентгенография органов брюшной полости или КТ органов брюшной полости) с целью выявления затёков контрастного средства за пределы ЖКТ [113, 115, 118, 120].
Уровень убедительности рекомендации С (уровень достоверности доказательств – 4).
Всем пациентам с подозрением на ПЯ при негативном рентгенологическом исследовании или невозможности проведения КТ рекомендуется проведение ультразвукового исследования (УЗИ) органов брюшной полости (комплексное) для выявления свободного газа и свободной жидкости в брюшной полости [121, 122, 123, 124].
Уровень убедительности рекомендации С (уровень достоверности доказательств – 5).
Комментарий. УЗИ органов брюшной полости (комплексное) имеет высокую совокупную диагностическую точность при ПЯ – 91%. При УЗИ можно выявлять утолщенный (пониженной эхогенности) участок стенки органа, содержащей перфорацию. Ультразвуковым симптомом перфорации язвы является перерыв наружного контура стенки органа в области язвенного дефекта, который заполнен высокоэхогенным содержимым и располагается именно в зоне утолщения. Язвенный дефект при УЗИ наиболее часто выглядит в виде конуса или неправильного конусовидного образования «рыбьего глаза» (по Т. Yoschizumi) [125]. При подозрении на прикрытую перфорацию совокупная ценность УЗИ составляет: диагностическая точность – 80,0%, специфичность – 85,7%, чувствительность – 66,7%. Однако роль УЗИ в диагностике ПЯ нуждается в уточнении [115].
Эзофагогастродуоденоскопия (ЭГДС) рекомендуется пациентам с подозрением на ПЯ при неоднозначной клинико-инструментальной картине (отсутствие симптомов перитонита, отсутствие рентгенологических признаков пневмоперитонеума) и для диагностики других осложнений язвенной болезни (кровотечение, стеноз пилородуоденальной зоны) [130, 215].
Уровень убедительности рекомендации С (уровень достоверности доказательств – 5).
Комментарий. ЭГДС позволяет установить наличие прободной язвы в 90% случаев [130]. В случаях прикрытой перфорации, при отсутствии свободного воздуха в брюшной полости по данным лучевых методов исследования, при ЭГДС можно обнаружить язвенный дефект с перфорацией, а при повторном рентгенологическом исследовании после ЭГДС – возможно появление признаков свободного воздуха в брюшной полости. Кроме того, эндоскопия также позволяет выполнить биопсию и исключить стеноз пилородуоденальной зоны.
Диагностическая лапароскопия рекомендуется пациентам с подозрением на ПЯ при отсутствии свободного газа в брюшной полости, но при сохраняющемся подозрении на перфорацию полого органа [110, 115, 127, 129].
Уровень убедительности рекомендации С (уровень достоверности доказательств – 5).
Комментарий. При лапароскопии можно выявить характерный перитонеальный экссудат с примесью желудочного содержимого или желчи, обнаружить перфоративное отверстие, уточнить его локализацию, размеры, выраженность язвенного инфильтрата, оценить наличие, распространённость и выраженность перитонита. Диагностическая лапароскопия может быть трансформирована в лечебную операцию.
Всем пациентам с ПЯ в ходе операции рекомендуется выполнение бактериологического исследования перитонеальной жидкости на аэробные и факультативно-анаэробные условно-патогенные микроорганизмы, микробиологического (культурального) исследования перитонеальной жидкости на анаэробные неспорообразующие микроорганизмы, микробиологического (культурального) исследования перитонеальной жидкости на грибы (дрожжевые и мицелиальные) с определением чувствительности микроорганизмов к антимикробным химиотерапевтическим препаратам [115, 131, 142].
Уровень убедительности рекомендации C (уровень достоверности доказательств – 4).
Комментарий. Инфицирование брюшной полости содержимым ЖКТ при прободной язве закономерно ведёт к развитию инфекционных осложнений, частота которых варьирует от 17% до 63%. Наиболее частыми бактериальными осложнениями являются раневая и респираторная инфекция. Грибковая инфекция у пациентов с ПЯ увеличивает риск тяжёлых инфекционных осложнений и сопряжена с увеличением продолжительности стационарного лечения [131].
Экстренное эндоскопическое исследование – эзофагогастродуоденоскопию (ЭГДС) (A03.16.001) рекомендуется выполнять всем пациентам с острым кровотечением из верхних отделов пищеварительного тракта, под процедурной седацией с мониторингом основных параметров жизнедеятельности пациента во время проведения анестезии (B03.003.006), параллельно с проведением инфузионно-трансфузионной терапии [15, 27, 28].
Уровень убедительности рекомендации С (уровень достоверности доказательств – 5).
Комментарий. ЭГДС необходимо выполнить в течение 2 часов от момента госпитализации пациента. Решающее значение для установления источника и характера кровотечения, оценки необходимости и возможности остановки/профилактики кровотечения через эндоскоп, а также для прогнозирования риска рецидива кровотечения принадлежит эндоскопическому методу
Перед выполнением ЭГДС пациентам с подозрением на язвенное гастродуоденальное кровотечение рекомендуется выполнить зондирование желудка (A11.16.009) с последующим промыванием желудка (A11.16.008) [15].
Уровень убедительности рекомендации С (уровень достоверности доказательств – 5).
Комментарий. Европейское общество желудочно-кишечной эндоскопии (ESGE) считает возможным для этой цели также использование стимуляторов моторики желудочно-кишечного тракта (Код АТХ: A03F) или #Эритромицина (Код АТХ: J01FA01) (100-200 мг в/в 2 раза в день). Европейское общество желудочно-кишечной эндоскопии (ESGE) также указывает на необходимость интубации трахеи перед проведением ЭГДС у пациентов с продолжающейся активной кровавой рвотой, энцефалопатией, возбуждением, с целью защиты дыхательных путей пациента от потенциальной аспирации желудочного содержимого [12, 216].
При обнаружении во время ЭГДС в просвете желудка большого количества крови, сгустков, пищевых масс, рекомендуется извлечь эндоскоп медицинский гибкий для обследования желудочно-кишечного тракта и эвакуировать содержимое через зонд желудочный [15].
Уровень убедительности рекомендации С (уровень достоверности доказательств – 5).
У пациентов с ЯГДК рекомендуется стратификация источника язвенного кровотечения по классификации J.F. Forrest (1974) (cм. Приложение Г) [13, 23].
Уровень убедительности рекомендаций B (уровень достоверности доказательств – 3).
Комментарий. Неотложное эндоскопическое исследование позволяет определить локализацию язвенного дефекта – источника кровотечения, его размеры, глубину, состояние дна и краев, выявить признаки пенетрации или прикрытой перфорации язвы, рубцовой деформации и стеноза, выявить дополнительные эрозивные и язвенные поражения желудка и ДПК. Пациенту с ЯГДК при локализации язвы в желудке необходимо рассмотреть возможность множественной биопсии желудка с помощью эндоскопии (A11.16.002) с последующим патологоанатомическим исследованием биопсийного (операционного) материала желудка, позволяющим исключить злокачественный характер язвенного поражения. В том случае, если биопсия при первичной эндоскопии опасна с точки зрения возобновления кровотечения, необходимо отложить её проведение и выполнить при контрольной ЭГДС. Пациенту с ЯГДК при локализации язвы в двенадцатиперстной кишке рутинное выполнение биопсии из краёв язвенного дефекта нецелесообразно. Доброкачественные язвы ДПК следует дифференцировать с изъязвленными формами нейроэндокринных и субэпителиальных опухолей, а также с прорастанием в ДПК опухоли соседних органов, чаще всего – поджелудочной железы. В этих случаях выполнение биопсии оправдано [12, 13, 14, 19, 21, 23].
Неотложное эндоскопическое исследование/вмешательство (в течение 24 часов от начала кровотечения и в течение первых двух часов от госпитализации) рекомендуется выполнять всем пациентам с острым кровотечением из верхних отделов пищеварительного тракта [199, 200].
Уровень убедительности рекомендаций С (уровень достоверности доказательств – 5).
Комментарий. Решающее значение для установления источника и характера кровотечения, оценки необходимости и возможности остановки/профилактики кровотечения с помощью эндоскопа, а также для прогнозирования риска рецидива кровотечения принадлежит эндоскопическому методу. Именно поэтому всем пациентам с кровотечением из верхних отделов ЖКТ показана экстренная ЭГДС. Эндоскопию целесообразно проводить операционным эндоскопом с торцевой оптикой и широким инструментальным каналом, с возможностью подачи направленной струи жидкости для смывания крови и сгустков, и аспирации содержимого по биопсийному каналу, параллельно введённому в него инструменту, на функциональном столе, который позволяет изменять положение больного. В необходимых случаях (когда невозможно полноценно осмотреть источник кровотечения и должным образом подвести соответствующий инструмент к кровоточащему участку) используются ширококанальные операционные дуоденоскопы. Неоценимую помощь для слаженной работы операционной бригады оказывают современные видеоэндоскопические системы, обеспечивающие выведение на экран монитора высококачественного изображения источника кровотечения.
Отказ от экстренной эндоскопической диагностики в исключительных случаях может быть оправдан при продолжающемся профузном кровотечении, особенно если по данным анамнеза и имеющимся в распоряжении врача медицинским документам можно предположить его язвенную этиологию. Однако при наличии круглосуточной эндоскопической службы выполнение экстренной эзофагогастродуоденоскопии возможно и у подобных больных; она проводится непосредственно на операционном столе и рассматривается как элемент пред- или интраоперационной ревизии.
Проведение эндоскопической диагностики не показано больным, находящимся в агональном состоянии и требующим реанимационных мероприятий. Решение о невозможности выполнения ЭГДС принимается совместно ответственным хирургом, анестезиологом-реаниматологом и эндоскопистом.
Для повышения диагностической и лечебной ценности ЭГДС рекомендуется освободить желудок от крови, сгустков, остатков пищи на этапе поступления в стационар, путём установки широкопросветного желудочного зонда, отмывания и эвакуации содержимого желудка [11, 199, 200].
Уровень убедительности рекомендаций С (уровень достоверности доказательств – 5).
Комментарий. Для этой цели также возможно использование препаратов, ускоряющих эвакуацию из желудка, в частности, внутривенное струйное медленное, либо капельное введение 200 мг #эритромицина [216]. В том случае, если анамнестические сведения и клиническая картина позволяют с высокой степенью вероятности предположить, что верхние отделы пищеварительного тракта свободны от содержимого, ЭГДС можно предпринять без установки зонда в желудок и без введения прокинетиков. Это решение принимается совместно ответственным хирургом и эндоскопистом.
Рекомендуется выполнять неотложное эндоскопическое исследование внутренних органов (желудочно-кишечного тракта (А03.30.006) с анестезиологическим обеспечением, включающим в себя интенсивное лечение кровопотери, адекватное обезболивание/седацию и мониторинг жизненно-важных показателей [11, 31, 200, 201].
Уровень убедительности рекомендаций В (уровень достоверности доказательств – 1).
Комментарий. Выполнение ЭГДС у крайне тяжёлых больных с декомпенсированными сопутствующими заболеваниями целесообразно лишь в той ситуации, когда "эндоскопическое вмешательство отчаяния" предпринимается параллельно с проведением интенсивной терапии, непосредственно для остановки продолжающегося кровотечения.
Рекомендуется выполнить интубацию трахеи перед эндоскопией у пациентов с продолжающейся активной кровавой рвотой, энцефалопатией, возбуждением, с целью защиты дыхательных путей пациента от потенциальной аспирации желудочного содержимого [31, 201].
Уровень убедительности рекомендаций В (уровень достоверности доказательств – 3).
При обнаружении во время диагностической ЭГДС в просвете желудка большого количества крови, сгустков, пищевых масс, которые невозможно сместить, либо удалить через инструментальный канал эндоскопа и, вследствие этого, провести полноценный осмотр и гемостатическое воздействие на источник кровотечения, рекомендуется извлечь эндоскоп и отмыть/эвакуировать содержимое через толстый желудочный зонд [6, 202].
Уровень убедительности рекомендаций B (уровень достоверности доказательств – 3).
Комментарий. В самом начале эндоскопического исследования кровь, сгустки и остатки промывных вод, по возможности, полностью, удаляются из просвета и со слизистой оболочки через биопсийный канал прибора. Если кровь и сгустки не удаётся убрать полностью, выведение источника кровотечения в доступную для осмотра и удобную для манипуляций позицию достигается изменением положения больного на эндоскопическом столе, разрушением и смещением сгустков инструментами (полипэктомическая петля, корзинка Дормиа), прицельным отмыванием источника кровотечения путём интенсивной струйной подачи жидкости через отдельный канал эндоскопа (предпочтительнее), либо через катетер. В условиях продолжающегося кровотечения целесообразно выполнять экстренную дополнительную подготовку верхних отделов пищеварительного тракта к ЭГДС непосредственно на эндоскопическом столе, в том числе с применением быстродействующего прокинетика (#эритромицина) [216].
В процессе неотложной диагностической ЭГДС источник ЯГДК рекомендуется оценивать по классификации J.F. Forrest (1974) (cм. Приложение Г) [203].
Уровень убедительности рекомендаций В (уровень достоверности доказательств – 3).
Комментарий. При проведении неотложного эндоскопического исследования у больного с гастродуоденальным кровотечением необходимо осматривать все доступные данному виду исследования отделы ЖКТ, независимо от того, какое количество источников кровотечения обнаружено в пищеводе или проксимальных отделах желудка. Во избежание диагностической ошибки особо пристально следует проводить исследование у анемизированных пациентов, а также у пациентов с отчетливой клиникой массивного кровотечения, но “минимальными” эндоскопическими проявлениями (“несоответствие клиники и находок”). В сомнительных случаях, если в учреждении есть технические возможности, необходимо проанализировать видеозапись исследования в консилиуме с более опытными специалистами, либо повторить его.
Неотложное эндоскопическое исследование подтверждает наличие и уточняет локализацию язвенного дефекта, послужившего источником кровотечения, его размеры, глубину, состояние дна и краев. ЭГДС позволяет выявить признаки пенетрации или прикрытой перфорации язвы, рубцовой деформации и стенозирования просвета органа, а также дополнительные эрозивные и язвенные поражения желудка и ДПК.
При локализации кровоточащей язвы в желудке рекомендуется выполнить множественную щипцовую биопсию из краёв язвенного дефекта с последующим морфологическим исследованием, позволяющим исключить злокачественный характер язвенного поражения [204].
Уровень убедительности рекомендаций В (уровень достоверности доказательств – 1).
Комментарий. В том случае, если биопсия при первичной ЭГДС опасна с точки зрения возобновления кровотечения, либо затруднена технически, оправдано проведение биопсии при контрольной ЭГДС. Число биоптатов, взятых по периметру язвы – должно быть не менее 6.
При локализации язвы в двенадцатиперстной кишке рутинное выполнение биопсии из краёв язвенного дефекта не рекомендуется, так как подобные язвы крайне редко бывают злокачественными [204].
Уровень убедительности рекомендаций В (уровень достоверности доказательств – 1).
Комментарий. Доброкачественные язвы ДПК следует дифференцировать с изъязвленными формами нейроэндокринных и субэпителиальных опухолей, а также с прорастанием в ДПК опухоли соседних органов, чаще всего - поджелудочной железы. В этих случаях выполнение биопсии безусловно необходимо.
Всем пациентам с ЯБ с целью определения показаний к эрадикационной терапии рекомендуется проведение тестирования на наличие инфекции Н. рylori с помощью 13С-уреазного дыхательного теста на Helicobacter pylori или определения антигена H. pylori в кале, а при одновременном проведении ЭГДС – с помощью быстрого уреазного теста [29, 30].
Уровень убедительности рекомендаций В (уровень достоверности доказательств – 2).
Комментарий. В соответствии с рекомендациями согласительного совещания «Маастрихт-VI» (2022) [29] наиболее оптимальными тестами первичной диагностики инфекции H. pylori служат 13С-дыхательный уреазный тест и определение антигена H. pylori в кале. Так, согласно последнему Кохрейновскому обзору и мета-анализу, чувствительность13С-дыхательного уреазного теста составляет 94% (95% ДИ: 0,89-0,97), а определения антигена H. pylori в кале – 83% (95% ДИ: 0,73-0,90) при фиксированной специфичности 90% [30].
Если пациентам одновременно проводится ЭГДС, то методом первичной диагностики может быть быстрый уреазный тест. При использовании эндоскопических методов диагностики Н. pylori берут, как минимум, 2 биоптата из тела желудка и 1 биоптат из антрального отдела. Серологический метод выявления антител к Н. pylori может применяться для первичной диагностики инфекции H. pylori, однако, только в том случае, если определяемые антитела относятся к классу IgG. Микробиологический (бактериологический) метод применяется в настоящее время для определения индивидуальной чувствительности H. pylori к антибактериальным препаратам системного действия в случаях неэффективности лечения.
Для контроля эрадикации, который проводят через 4-6 недель после окончания эрадикационной терапии, лучше всего применять 13С-уреазный дыхательный тест или определение антигена Н. pylori в кале. В течение этого времени пациенты не должны принимать антибактериальные препараты системного действия и препараты висмута (A02BX Другие препараты для лечения язвенной болезни желудка и двенадцатиперстной кишки и ГЭРБ). Во избежание ложноотрицательных результатов прием ингибиторов протонного насоса (ИПН) необходимо прекратить за 2 недели до предполагаемого контрольного исследования. Кроме того, отрицательный результат исследования на инфекцию Н. pylori должен быть обязательно подтвержден другим методом диагностики.
Всем пациентам с ЯГДК с целью определения показаний к эрадикационной терапии рекомендуется рассмотреть возможность проведения 13С-уреазного дыхательного теста на Н. рylori (A07.16.006) [12, 13, 14, 19, 21, 23, 31, 32].
Уровень убедительности рекомендаций С (уровень достоверности доказательств – 5).
Комментарий. В соответствии с рекомендациями согласительного совещания «Маастрихт-V» (2016) [33] оптимальными тестами первичной диагностики инфекции H. pylori служат 13С-уреазный дыхательный тест на H. рylori (A07.16.006), определение антигена H. pylori в фекалиях (A26.19.020). Методом первичной диагностики также может быть быстрый уреазный тест [32]. Если неотложно взятый тест на H. pylori оказался отрицательным, необходимо его повторить.
Всем пациентам с ЯГДК рекомендуется рассмотреть возможность контроля эрадикации инфекции Н. рylori для определения дальнейшей лечебной программы [31, 32].
Уровень убедительности рекомендаций А (уровень достоверности доказательств – 1).
Комментарий. Для контроля эрадикации через 4-6 недель после окончания эрадикационной терапии целесообразно применять 13С-уреазный дыхательный тест на H. pylori (A07.16.006) и/или определение антигена H. pylori в фекалиях (A26.19.020). Прием ИПН необходимо прекратить за 2 недели до предполагаемого контрольного исследования. Отрицательный результат должен быть подтвержден двумя методами диагностики [31,32].
Дифференциальный диагноз ЯГДК проводят с кровотечением из верхних дыхательных путей, носоглотки и легких, когда заглатываемая больным кровь может симулировать кровотечение из пищеварительного тракта. Тщательно собранный анамнез, осмотр больного и инструментальные методы диагностики (прицельная рентгенография органов грудной клетки, компьютерная томография органов грудной полости, бронхоскопия) позволяют заподозрить легочное кровотечение, для которого характерен ярко-красный цвет пенистой крови, выделяемой обычно при кашле или отдельными плевками.
Следует также помнить, что черная окраска кала может наблюдаться после приема некоторых медикаментов (препараты железа, препараты висмута (A07BB), активированный уголь и др.). В сомнительных случаях целесообразно лабораторное исследование кала на скрытую кровь (A09.19.001).
Кровотечение из разрывов слизистой оболочки области пищеводно-желудочного перехода следует заподозрить, если у больных молодого возраста, злоупотребляющих алкоголем, многократные приступы рвоты заканчиваются появлением алой крови в рвотных массах.
Наличие неопределенных желудочных жалоб, похудание и нарушение общего состояния больного (так называемый синдром «малых» признаков) заставляют заподозрить опухоль желудка как причину кровотечения. Рвотные массы в этих случаях чаще имеет характер кофейной гущи.
Для кровотечения из варикозно-расширенных вен пищевода характерна многократная рвота темной кровью; дегтеобразный стул появляется обычно через 1-2 суток. Из перенесенных заболеваний важно отметить болезни печени и желчевыводящих путей (в первую очередь – цирроз печени), а также повторные тяжелые приступы острого панкреатита.
Лечение ЯБ должно быть комплексным и включать в себя не только назначение лекарственных препаратов, но и проведение широкого круга различных мероприятий: диетическое питание, прекращение курения и злоупотребления алкоголем, отказ от приема препаратов, обладающих ульцерогенным действием, нормализацию режима труда и отдыха, санаторно-курортное лечение.
Пациенты с неосложненным течением ЯБ подлежат консервативному лечению. В большинстве случаев оно проводится амбулаторно. Однако при выраженном болевом синдроме, высоком риске развития осложнений (например, большие и гигантские размеры язв), необходимости дообследования с целью верификации диагноза (например, при неясном характер язвенного поражения желудка), тяжелых сопутствующих заболеваниях целесообразна госпитализация пациентов.
3.1. Диетотерапия
Всем пациентам с ЯБ с целью ускорения заживления язв рекомендуется диетотерапия [34].
Уровень убедительности рекомендаций С (уровень достоверности доказательств – 5).
Комментарий. Основные принципы диетического питания пациентов с язвенной болезнью, выработанные много лет назад, сохраняют свою актуальность и в настоящее время. Остаются в силе рекомендации частого (5-6 раз в сутки), дробного питания, соответствующие правилу: “шесть маленьких приемов пищи лучше, чем три больших”, механического, термического и химического щажения. Из пищевого рациона необходимо исключить продукты, раздражающие слизистую оболочку желудка и возбуждающие секрецию соляной кислоты: крепкие мясные и рыбные бульоны, жареную и наперченную пищу, копчености и консервы, приправы и специи (лук, чеснок, перец, горчицу), соления и маринады, газированные фруктовые воды, пиво, белое сухое вино, шампанское, кофе, цитрусовые.
Следует отдавать предпочтение продуктам, обладающим выраженными буферными свойствами (т.е., способностью связывать и нейтрализовывать соляную кислоту). К ним относятся мясо и рыба (отварные или приготовленные на пару), яйца, молоко и молочные продукты. Разрешаются также макаронные изделия, черствый белый хлеб, сухой бисквит и сухое печенье, молочные и вегетарианские супы. Овощи (картофель, морковь, кабачки, цветная капуста) можно готовить тушеными или в виде пюре и паровых суфле. В пищевой рацион можно включать каши, кисели из сладких сортов ягод, муссы, желе, сырые тертые и печеные яблоки, какао с молоком, некрепкий чай.
Нужно помнить и о таких простых, но в то же время важных рекомендациях, как необходимость принимать пищу в спокойной обстановке, не спеша, сидя, тщательно прожевывать пищу. Это способствует лучшему пропитыванию пищи слюной, буферные возможности которой являются достаточно выраженными.
3.2. Консервативное лечение
Пациентам с обострением ЯБ с целью достижения заживления язв рекомендуется проведение антисекреторной терапии ингибиторами протонного насоса (ИПН) в течение 4-6 недель [2, 3].
Уровень убедительности рекомендаций С (уровень достоверности доказательств – 5).
Комментарий. В качестве базисной противоязвенной терапии в настоящее время могут рассматриваться только антациды, блокаторы Н2-гистаминовых рецепторов (Н2-блокаторы) и ИПН. В 1990 г. W. Burget и соавт. [35] опубликовали данные мета-анализа 300 работ, на основании которого пришли к заключению, что язвы желудка и ДПК рубцуются почти во всех случаях, если в течение суток удается поддерживать рН внутрижелудочного содержимого >3 около 18 часов («правило Бурже» (Burget). Согласно одному из последних мета-анализов, Н2-блокаторы и ИПН достоверно эффективнее плацебо в отношении достижения рубцевания язвенного дефекта (ОШ = 3,49, 95% ДИ: 3,28-3,72; p <0,0001) и снижения риска повторного кровотечения при осложнённом течении заболевания (ОШ = 0,68, 95% ДИ: 0,60-0,78; p <0,0001) [36].
Лишь препараты группы ИПН могут выполнить после их приема условия необходимой продолжительности повышения рН в желудке, требующейся для заживления гастродуоденальных язв. В настоящее время ИПН являются средством базисной терапии обострения ЯБ. Они назначаются с целью купирования болевого синдрома и диспепсических расстройств, а также для достижения рубцевания язвенного дефекта в возможно более короткие сроки. Многочисленные рандомизированные сравнительные исследования (включая мета-аналитические) свидетельствовали о значительно более высокой эффективности ИПН по сравнению с Н2-блокаторами в устранении клинических симптомов и достижении рубцевания язв [37, 38]. Недавний мета-анализ продемонстрировал, что ИПН практически в 1,5 раза эффективнее Н2-блокаторов в отношении эпителизации язвенного дефекта (ОШ = 5,22, 95% ДИ: 4,00-6,80 против ОШ = 3,80, 95% ДИ: 3,44-4,20; p <0,0001) [36].
В настоящее время существует протокол фармакотерапии ЯБ, который предусматривает назначение выбранного препарата в определенной суточной дозе: омепразола** – в дозе 20 мг, лансопразола – в дозе 30 мг, пантопразола – в дозе 40 мг, рабепразола – в дозе 20 мг, эзомепразола** – в дозе 20 мг. Продолжительность лечения определяется результатами эндоскопического контроля, который проводится с интервалами 2-4 недели. Базисная антисекреторная терапия с применением ИПН служит основным методом лечения идиопатических гастродуоденальных язв.
При применении ИПН, метаболизирующихся системой цитохрома Р450, могут остро вставать вопросы конкурентного лекарственного взаимодействия с препаратами, метаболизм которых также осуществляется с помощью указанной системы. Среди всех ИПН самое низкое сродство к системе цитохрома Р450 проявляют пантопразол и рабепразол, основной метаболизм которых осуществляется без участия данной ферментной системы.
При неэффективности ИПН или наличии противопоказаний к их применению пациентам с обострением ЯБ с целью достижения заживления язв рекомендуется назначение в течение 4-6 недель блокаторов Н2-гистаминовых рецепторов [2].
Уровень убедительности рекомендаций С (уровень достоверности доказательств – 5).
Комментарий. Блокаторы H2-гистаминовых рецепторов (ранитидин**, фамотидин**) подавляют секрецию соляной кислоты за счет вытеснения гистамина из связи с Н2-рецепторами париетальных клеток. Эти препараты поддерживают показатели внутрижелудочного рН >3 на протяжении суток в течение 8-10 часов. Многочисленные проведенные исследования показали, что применение Н2-блокаторов в течение 4-6 недель приводит к рубцеванию язвенного дефекта у 70-80% пациентов с дуоденальными язвами и у 55-60% пациентов с язвами желудка [2]. Последний мета-анализ продемонстрировал, что Н2-блокаторы значительнее эффективнее плацебо в достижении рубцевания язвенного дефекта (ОШ = 3,80, 95% ДИ: 3,44-4,20; p <0,0001) [36]. Тем не менее, после того как в клинической практике в качестве базисной антисекреторной терапии стали широко применяться ИПН, Н2-блокаторы утратили свои позиции и в настоящее время применяются редко, главным образом, при невозможности применения ИПН или же в комбинации с ними с целью усиления антисекреторного действия.
Пациентам с обострением ЯБ с целью ускорения сроков заживления язв и улучшения качества образующегося рубца рекомендуется применение ребамипида [39, 40].
Уровень убедительности рекомендаций В (уровень достоверности доказательств – 2).
Комментарий. Ребамипид оказывает как гастро-, так и энтеропротективный эффек. В основе механизмов действия препарата лежит индукция синтеза простагландинов Е2 и I2 в слизистой оболочке желудка и кишечника, что приводит к активации ее защитных свойств. В результате улучшается кровоток в стенке желудка и кишечника, усиливается пролиферация эпителиальных клеток, нормализуется проницаемость слизистой оболочки, происходит поглощение кислородных радикалов, повышается секреция желудочной слизи, реализуется противовоспалительное действие. Проведенные исследования продемонстрировали более высокую эффективность ребамипида в заживлении язв желудка по сравнению с плацебо и сходную эффективность ребамипида и омепразола** [39, 40].
Всем пациентам с обострением ЯБ с положительными результатами тестирования на инфекцию H. рylori с целью заживления язвы рекомендуется проведение эрадикационной терапии [41].
Уровень убедительности рекомендаций А (уровень достоверности доказательств – 1).
Комментарий. По данным мета-анализа, эффективность эрадикационной терапии H. pylori в достижении заживления язвы превосходила таковую при применении антисекреторных препаратов (34 исследования; относительный риск (ОР) персистирования язвы 0,66 (доверительный интервал 95% (ДИ) 0,58-0,76)) [41].
Всем пациентам с ЯБ с положительными результатами тестирования на инфекцию H. рylori с целью профилактики последующих рецидивов ЯБ рекомендуется проведение эрадикационной терапии [42, 43].
Уровень убедительности рекомендаций А (уровень достоверности доказательств – 1).
Комментарий. В мета-анализе, обобщившем результаты 5 рандомизированных контролируемых исследований в популяции пациентов с язвенной болезнью, осложненной перфорацией, было продемонстрировано, что эрадикационная терапия значительно снижает риск рецидива заболевания в течение года после ушивания дефекта (ОР = 1,49; 95% ДИ: 1,10-2,03) [42]. По данным Кохрейновского мета-анализа, эрадикационная терапия H. pylori у пациентов с ЯБ по сравнению с отсутствием такого лечения существенно снижала частоту рецидивов дуоденальной язвы (27 исследований; ОР = 0,20, 95% ДИ: 0,15-0,26) и рецидивов язвы желудка (12 исследований; ОР = 0,31, 95% ДИ: 0,22-0,45) [41].
Всем пациентам с ЯБ с положительными результатами тестирования на инфекцию H.рylori в качестве эрадикационной терапии первой линии, обеспечивающий высокий процент эрадикации инфекции, рекомендуется назначить по выбору:
- стандартную тройную терапию, включающую ИПН (в стандартной̆ дозе 2 раза в сутки), кларитромицин** (500 мг 2 раза в сутки) и амоксициллин** (1000 мг 2 раза в сутки), усиленную висмута трикалия дицитратом** (120 мг 4 раза в день или 240 мг 2 раза в день) на 14 дней [44, 45].
или
- классическую четырехкомпонентную терапию с висмута трикалия дицитратом** (120 мг 4 раза в сутки) в сочетании с ИПН (в стандартной̆ дозе 2 раза в сутки), #тетрациклином (500 мг 4 раза в сутки) и метронидазолом** (500 мг 3 раза в сутки) на 10 или 14 дней [46, 47, 48, 49].
или
- квадротерапию без препаратов висмута (A02BX Другие препараты для лечения язвенной болезни желудка и двенадцатиперстной кишки и ГЭРБ), которая включает стандартную тройную терапию (ИПН в стандартной̆ дозе 2 раза в сутки), амоксициллин** (в дозе 1000 мг 2 раза в сутки), кларитромицин** (500 мг 2 раза в сутки), усиленную метронидазолом** (500 мг 3 раза в сутки) на 14 дней [48].
Уровень убедительности рекомендаций А (уровень достоверности доказательств – 1).
Комментарий. Эмпирический выбор схемы эрадикационной терапии первой линии без определения чувствительности H. pylori к антибактериальным препаратам системного действия опирается на терапию с максимальной доказанной эффективностью. Добавление висмута трикалия дицитрата** к стандартной тройной терапии убедительно увеличивает частоту эрадикации инфекции H. pylori выше 90% по данным «Европейского регистра лечения H. pylori» [45]. Согласно мета-анализу S.W.Ko et al., усиление препаратом висмута стандартной тройной терапии увеличивает её эффективность с ОШ = 2,81 (95% ДИ 2,03-3,89), в том числе при доказанной резистентности H. pylori к кларитромицину** [44]. Классическая четырехкомпонентная терапия на основе висмута трикалия дицитрата** продолжает демонстрировать эффективность эрадикации более 90% и по данным европейского регистра [46], и по данным мета-анализов [47, 48]. Квадротерапия без препаратов висмута (A02BX Другие препараты для лечения язвенной болезни желудка и двенадцатиперстной кишки и ГЭРБ) или сочетанная (concomitant) терапия, включающая ИПН и комбинацию амоксициллина**, кларитромицина** и метронидазола**, по данным мета-анализа, не уступает в эффективности классической квадротерапии [48]. По сути, сочетанная терапия является стандартной тройной схемой, усиленной метронидазолом**.
Пациентам с ЯБ с положительными результатами тестирования на инфекцию H. рylori в качестве эрадикационной терапии первой линии рекомендуется назначение на 14 дней стандартной тройной терапии в регионах, где подтверждена ее эффективность [46, 48, 50].
Уровень убедительности рекомендаций А (уровень достоверности доказательств – 1).
Комментарий. Согласно данным европейского регистра стандартная тройная терапия, проводимая в течение 7 дней, приводит к успешной эрадикации в 82,7% случаев; в течение 10 дней – в 84,2%; 14 дней – в 86.2% [46]. Кохрейновский мета-анализ 45 рандомизированных контролируемых исследований в параллельных группах показывает повышение процента эрадикации H. pylori в результате тройной терапии при удлинении продолжительности лечения с 7 до 14 дней (72,9% против 81,9%), а ОР персистенции. H. pylori составляет 0,66 (95% ДИ: 0,60-0,74), ЧБНЛ – 11 (95% ДИ: 9-14). Значимый эффект наблюдали при сочетании ИПН с кларитромицином** и амоксициллином** (34 исследования (ОР = 0,65, 95% ДИ: 0,57-0,75; ЧБНЛ 12, 95% ДИ: 9-16). Значимое повышение эффективности эрадикации H. pylori происходит при увеличении продолжительности тройной терапии с 7 до 10 дней (24 исследования, 75,7% против 79,9%; ОР = 0,80, 95% ДИ: 0,72-0,89; ЧБНЛ 21, 95% ДИ: 15-38) и с 10 до 14 дней (12 исследований, 78,5% против 84,4%; ОР = 0,72, 95% ДИ: 0,58-0,90; ЧБНЛ 17, 95% ДИ: 11-46); особенно в случаях сочетания ИПН с кларитромицином** и амоксициллином** при увеличении продолжительности с 7 до 10 дней (17 исследований, ОР = 0,80, 95% ДИ: 0,70-0,91) и с 10 до 14 дней (10 исследований, ОР = 0,69, 95% ДИ: 0,52-0,91) [50].
Пациентам с ЯБ с положительными результатами тестирования на инфекцию H. рylori при проведении эрадикационной терапии первой линии для повышения ее эффективности рекомендуется назначение удвоенной дозы ингибитора протонного насоса [51, 52].
Уровень убедительности рекомендаций В (уровень достоверности доказательств – 1).
Комментарий. Мета-анализ продемонстрировал увеличение процента эрадикации H. pylori при назначении высокой дозы ИПН [51]. Вместе с тем, попытка показать с помощью мета-анализа увеличение эффективности лечения при повышении дозы препарата для более современных ИПН (рабепразола и эзомепразол**) не получила подтверждения, возможно, вследствие включения исследований с низкой суточной дозой рабепразола (20 мг в сутки), принятой в некоторых азиатских странах, или эффективности этих ИПН при эрадикации H. pylori (85,3% успешной терапии с «высокими» дозами и 84,2% с «обычными» дозами ИПН, ОШ = 1,09 (95% ДИ: 0,86-1,37), р = 0,47) [52]. Мета-анализ 16 рандомизированных контролируемых исследований (n = 3680) продемонстрировал снижение эффективности тройной терапии с омепразолом** и лансопразолом в стандартных дозах у быстрых метаболизаторов ИПН. При этом эффективность тройной терапии с рабепразолом и эзомепразолом** в стандартных дозах не зависела от генетического полиморфизма CYP2C19 и не снижалась у быстрых метаболизаторов ИПН [53].
Пациентам с ЯБ с положительными результатами тестирования на инфекцию H. рylori при проведении эрадикационной терапии для повышения ее эффективности рекомендуется назначение калий-конкурентного ингибитора протонной помпы [54, 55].
Уровень убедительности рекомендаций В (уровень достоверности доказательств – 2).
Комментарий. Мета-анализ продемонстрировал увеличение процента эрадикации H. pylori при назначении тройной терапии с вонопразаном по сравнению с классическими ИПН [54]. Мета-анализ, проведенный S.Shinozaki et al. [55] при сравнении эффективности различных схем эрадикационной терапии второй линии также показал преимущество вонопразана.
Пациентам с ЯБ с положительными результатами тестирования на инфекцию H. рylori после неудачи стандартной тройной терапии, стандартной тройной терапии, усиленной висмута трикалия дицитратом**, сочетанной терапии рекомендуется в качестве терапии второй линии классическая четырехкомпонентная терапия с висмута трикалия дицитрата** [56, 57].
Уровень убедительности рекомендаций А (уровень достоверности доказательств – 1).
Комментарий. Систематический обзор с сетевым мета-анализом продемонстрировал высокую эффективность квадротерапии с препаратом висмута трикалия дицитратом** в качестве терапии второй линии [56]. Согласно мета-анализу, проведенному Z.Han et al. [57], висмутсодержащие схемы повышают процент эрадикации при наличии резистентности к кларитромицину** на 40%, к метронидазолу** – на 26%, при двойной резистентности – на 59%, что делает их выбор в качестве терапии второй линии оправданным.
Пациентам с ЯБ с положительными результатами тестирования на инфекцию H. рylori после неудачи классической четырехкомпонентной терапии с висмута трикалия дицитратом** в качестве терапии второй линии рекомендуется тройная схема лечения с левофлоксацином** или квадротерапия с левофлоксацином** (ИПН в стандартной̆ дозе 2 раза в сутки, левофлоксацин** 500 мг 2 раза в сутки внутрь и амоксициллин** 1000 мг 2 раза в сутки внутрь) или квадротерапия с левофлоксацином** (ИПН в стандартной дозе 2 раза в сутки, левофлоксацин** 500 мг 2 раза в сутки внутрь и амоксициллин** 1000 мг 2 раза в сутки внутрь, висмута трикалия дицитратом** 120 мг 4 раза в день) на 14 дней [58, 59, 60, 61].
Уровень убедительности рекомендаций В (уровень достоверности доказательств – 1)
Комментарий. Эффективность тройной терапия с левофлоксацином** (ИПН, левофлоксацин** и амоксициллин**) или квадротерапии с левофлоксацином** (ИПН, левофлоксацин**, амоксициллин**, висмута трикалий дицитрат** после неудачи предшествующих курсов эрадикационной терапии отмечена в контролируемых исследованиях и систематических обзорах [58, 59].
Пациентам с ЯБ, инфицированным H. pylori, с целью повышения эффективности эрадикационной терапии рекомендуется добавление в схемы эрадикации ребамипида [39, 40, 60, 62].
Уровень убедительности рекомендаций A (уровень достоверности доказательств – 1).
Комментарий. Два проведенных мета-анализа, включавших 6 и 11 рандомизированных контролируемых исследований, подтвердили повышение частоты эрадикации при включении в ее схемы ребамипида [49, 60, 62].
Пациентам с ЯБ с положительными результатами тестирования на инфекцию H. рylori при назначении эрадикационной терапии рекомендуется обеспечить приверженность к назначенному лечению (комплаенс) [63, 64].
Уровень убедительности рекомендаций В (уровень достоверности доказательств – 2).
Комментарий. Комплаенс следует рассматривать как ключевой фактор успеха эрадикационной терапии H. pylori. В контролируемом исследовании было показано, что при приеме более 60% назначенных препаратов эрадикация инфекции составила 96%, при приеме менее 60% (низкий комплаенс) – 69% [63]. В широкомасштабном рандомизированном контролируемом исследовании процент эрадикации снизился при низком комплаенсе (принято менее 80% назначенных препаратов) на 34%, причем у некомплаентных пациентов персистенция H. pylori наблюдалась в 59% случаев [64]. В рекомендациях Всемирной организации гастроэнтерологов, касающихся эрадикации инфекции H. pylori представлены меры по повышению приверженности пациентов эрадикационной терапии, обеспечивающие хороший результат лечения. Пациентов следует обязательно информировать о том, что успешная эрадикация зависит от соблюдения режима лечения. Следует уделить время тому, чтобы проконсультировать пациента, объяснить, как проводить комплексную лекарственную терапию и оценить возможные побочные эффекты антибиотикотерапии. Нужно специально подчеркнуть необходимость завершения лечения. Подчеркивается, что письменная или графическая информация о порядке проведения комплексной эрадикационой терапии может способствовать высокому компаенсу. Для лечения язвенной болезни в РФ зарегистрирован комбинированный препарат, который содержит набор капсул и таблеток для стандартной тройной терапии: каждый стрип, включающий 2 капсулы омепразола** по 20 мг, 2 таблетки кларитромицина** по 500 мг, 4 капсулы амоксициллина** по 500 мг, рассчитан на 1 один день с четким указанием утреннего и вечернего приема. Готовый набор лекарственных средств для эрадикационной терапии обеспечивает правильность дозы и стабильность частоты приема и повышает комплаенс пациента, что, как показало отечественное исследование, позволяет достичь частоты эрадикации инфекции H. pylori при язвенной болезни свыше 90% [65].
Пациентам с ЯБ с положительными результатами тестирования на инфекцию H. рylori при проведении эрадикационной терапии рекомендуется назначение штаммоспецифических пробиотиков (A07FA: противодиарейные микроорганизмы; A07FA02: Сахаромицеты Буларди; а также содержащих их биологически активные добавки (БАД) к пище и функциональные пищевые продукты), доказавших свою эффективность в отношении снижения частоты нежелательных явлений, в том числе антибиотикоассоциированной диареи [66, 67, 68, 69, 70, 71, 72, 73].
Уровень убедительности рекомендаций А (уровень достоверности доказательств – 1).
Комментарий. Конкретные штаммы одноштаммовых или мультиштаммовых пробиотиков (здесь и далее - A07FA: противодиарейные микроорганизмы; A07FA02: Сахаромицеты Буларди; а также содержащих их биологически активные добавки к пище и функциональные пищевые продукты) имеют доказанную эффективность при эрадикационной терапии H. pylori [66, 67, 68, 69, 70, 71, 72, 73]. Предполагается, что благодаря назначению пробиотиков при антигеликобактерном лечении снижается частота нежелательных явлений, что приводит к повышению эффективности эрадикации [29].
В недавнем систематическом обзоре с применением мета-анализа, обобщившем результаты 42 РКИ, было показано, что риск развития антибиотик-ассоциированной диареи у принимающих пробиотики пациентов оказался достоверно ниже по сравнению с пациентами, которые не принимали таковые (ОР = 0.35; 95% ДИ: 0.27-0.47, p <0.00001) или во время антибактериального лечения получали плацебо (ОР = 0.69; 95% ДИ: 0.60-0.80, p <0.00001). В обзоре также представлены данные мета-анализа 7 РКИ, посвященных применению пробиотиков совместно с антибактериальными препаратами системного действия исключительно при проведении эрадикации H. pylori, при этом отмечалось достоверное снижение риска развития антибиотик-ассоциированной диареи у таких пациентов на 45% (ОР = 0,55; 95% ДИ: 0,41-0,73, р <0,0001) [74].
Согласно данным Кохрейновского обзора с мета-анализом 31 РКИ, прием пробиотиков также снижает риск развития C. difficile-ассоциированной диареи на 60% (ОР = 0,40; 95% ДИ: 0,30-0,52) по сравнению с плацебо или при отсутствии пробиотической поддержки [75, 76].
В недавнем контролируемом исследовании было продемонстрировано, что включение в трехкомпонентную схему эрадикации Сахаромицетов Буларди (Saccharomyces boulardii (S.boulardii) CNCM I-745) перорально на весь период лечения достоверно снижало число побочных эффектов на фоне проводимой терапии, по сравнению с группой контроля (5.3±3.0 против 9.0±3.1, P = 0.028) [74]. Эффективность Сахаромицетов Буларди (Saccharomyces boulardii CNCM I-745), как в улучшении переносимости, так и в повышении частоты эрадикации H. pylori была продемонстрирована в недавнем контролируемом исследовании. Эффективность эрадикации H. pylori в группе пациентов, принимавших Сахаромицетов Буларди (Saccharomyces boulardii CNCM I-745) перорально в дозе 500 мг в день, достоверно превосходила таковую у испытуемых группы контроля (86.0% и 74.7% соответственно; р = 0.02). По сравнению с контрольной группой, у пациентов основной группы достоверно реже наблюдались нежелательные побочные эффекты эрадикации (17.0% против 55.7%; p <0.001), в том числе и развитие антибиотик-ассоциированной диареи (2.0% против 46.4%; P = 0.02), а также отмечалась более высокая приверженность к лечению (95,0% испытуемых экспериментальной группы закончили полный курс терапии в отличии от 91,2% группы контроля, р <0.001) [77] Мета-анализ 18 исследований (n = 3592) показал, что при добавлении Сахаромицетов Буларди (Saccharomyces boulardii CNCM I-745) к эрадикационной терапии риск общего числа нежелательных явлений был на 53% ниже (ОР = 0,47, 95% ДИ: 0,36-0,61), частота развития диареи – на 67% ниже (ОР = 0,37, 95% ДИ: 0,23-0,57), а достижение успешной эрадикации – выше (ОР = 1,09, 95% ДИ: 1,05-1,13) [67]. По результатам проведенного метаанализа также отмечается эффективность некоторых содержащих Lactobacillus acidophilus LA-5 и Bifidobacterium animalis subsp. lactis BB-12 пробиотиков в составе функциональных пищевых продуктов в снижении общего числа нежелательных явлений (ОР 0,31, 95% ДИ 0,20-0,47), профилактики антибиотик-ассоциированной диареи (ОР 0,38, 95% ДИ 0,20-0,72) и улучшении исходов эрадикации H. pylori (ОР 1,16, 95% ДИ 1,05-1,28)[68].
Пациентам с ЯБ и положительными результатами тестирования на инфекцию H. pylori при проведении эрадикационной терапии рекомендуется назначение доказавших свою эффективность метабиотиков (постбиотиков) в виде БАД к пище для повышения эффективности и переносимости лечения [78, 79, 80].
Уровень убедительности рекомендаций C (уровень достоверности доказательств – 5).
Комментарий. К метабиотикам (постбиотикам) относятся нежизнеспособные бактерии или их компоненты, а также продукты микробного метаболизма, которые обладают активностью в отношении организма человека [78, 79]. Эффективность метабиотиков в эрадикации инфекции H. pylori была продемонстрирована в многоцентровом рандомизированном клиническом исследовании с участием 90 взрослых пациентов с гастритом и язвенной болезнью желудка. Было показано достоверное улучшение исходов стандартной тройной эрадикационной терапии при включении в схему лечения метабиотика, содержащего инактивированные Lactobacillus reuteri DSM 17648 в дозе 1 х 1010 КОЕ 2 раза в день (р = 0,024). Согласно результатам 13С-уреазного дыхательного теста на Helicobacter pylori, успешная эрадикация была достигнута у 86,7% больных, принимающих метабиотик, и у 667% пациентов группы контроля, которым проводилось лечение только компонентами тройной схемы терапии. У пациентов, получавших метабиотик, реже наблюдались такие побочные эффекты лечения, как тошнота (60% против 86,7%, р = 0,033), диарея (36,6% против 50,0%, р = 0,35), запор (20,0% против 33,3%, р = 0,026), и нарушение вкуса (43,3% против 60,0%, р = 0,047), однако чаще отмечалось вздутие живота (40,0% против 13,3%, р <0,001) [80].
Всем пациентам с признаками кровотечения из верхних отделов ЖКТ рекомендуется незамедлительно начать интенсивную терапию на догоспитальном этапе и/или при поступлении в стационар [6, 20, 22, 27].
Уровень убедительности рекомендаций С (уровень достоверности доказательств – 5).
Всем пациентам с клиникой язвенного гастродуоденального кровотечения рекомендуется парентеральное введение ингибиторов протонного насоса (A02BC) при поступлении в стационар [13, 19, 23, 81, 102].
Уровень убедительности рекомендаций С (уровень достоверности доказательств – 5).
Комментарий. Назначение ИПН на догоспитальном этапе и до выполнения первичной ЭГДС уменьшает потребность в проведении эндоскопического гемостаза, но не должно приводить к задержке эндоскопии.
Рекомендуется стратификация пациентов с подозрением на кровотечение на этапе поступления в стационар по степени тяжести и вероятности летального исхода для решения вопроса о госпитализации/переводе пациентов с тяжёлым кровотечением в ОРИТ [19].
Уровень убедительности рекомендаций С (уровень достоверности доказательств – 4).
Комментарий. С целью стратификации больных с ЯГДК по степени тяжести кровопотери и вероятности летального исхода могут быть использованы шкалы Glasgow-Blatchford [16,20] (Приложение Г4); AIMС65 (Приложение Г3), Шоковый индекс (>0,8) [20] (приложение Г7), шкала ACS (приложение Г2).
Ведение больных с массивной кровопотерей
Основными задачами интенсивной терапии является обеспечение адекватной доставки кислорода клетке и его потребление, коррекция гемостаза.
У пациентов с ЯГДК при наличии нестабильной гемодинамики восполнение ОЦК рекомендуется начинать с введения сбалансированных солевых растворов (B05CB) [28].
Уровень убедительности рекомендаций С (уровень достоверности доказательств – 5).
Комментарий. Кровезаменители и препараты плазмы крови (Код АТХ: B05AA) также могут быть рассмотрены, но с учётом их негативного влияния на гемостаз и функцию почек.
Пациентам с ЯГДК при верификации массивной кровопотери рекомендуется незамедлительно активировать протокол ее лечения [28].
Уровень убедительности рекомендаций С (уровень достоверности доказательств – 5).
Пациентам с ЯГДК при немассивной кровопотере рекомендуется проводить инфузионно-трансфузионную терапию рестриктивного характера [27].
Уровень убедительности рекомендаций С (уровень достоверности доказательств – 5).
Комментарий. У пациентов с ЯГДК необходимо достичь целевых показателей адекватности перфузии после осуществления «хирургического» гемостаза. Либеральная инфузионно-трансфузионная терапия, раннее достижение целевых показателей гемодинамики (до хирургического гемостаза) могут приводить к гемодилюции, повышенному перфузионному давлению, что влечёт за собой увеличение кровопотери [83, 84].
Пациентам с ЯГДК рекомендуется проведение гемотрансфузии при уровне гемоглобина менее 70 г/л; пациентам с кардиоваскулярными заболеваниями порог начала гемотрансфузии может быть выше – 90 г/л [13, 27, 28].
Уровень убедительности рекомендаций С (уровень достоверности доказательств – 5).
Комментарий. Пациентам с ЯГДК целесообразна трансфузия свежезамороженной плазмы при наличии гипокоагуляции и продолжающегося кровотечения или высокого риска его возобновления.
У пациентов с ЯГДК при массивной кровопотере рекомендуется поддерживать уровень тромбоцитов более 50 х 109/л [27].
Уровень убедительности рекомендаций С (уровень достоверности доказательств – 5).
Комментарий. У части пациентов с ЯГДК целесообразно использование норэпинефрина** (Код АТХ: C01CA03) и эпинефрина** (Код АТХ: C01CA24) с целью поддержания необходимого перфузионного давления.
Использование норэпинефрина** (Код АТХ: C01CA03) и эпинефрина** (Код АТХ: C01CA24) также может быть рассмотрено при снижении контрактильной функции сердца [27, 28].
Критериями восстановления адекватной перфузии служат: состояние кожных покровов (мозаичность, время заполнения капилляров, температура); уровень сознания; величина диуреза; нормализация КЩС, лактата; достижение целевого уровня гемодинамики [13, 16].
Критериями адекватности трансфузионной терапии служат: отсутствие патологической кровоточивости (при условии выполненного «хирургического» гемостаза); нормализация гемостаза по глобальным коагулологическим тестам и/или тестированием гемостаза вязкоэластическими методиками [16, 27, 28].
3.3. Эндоскопическое лечение
У пациентов с ЯГДК при продолжающемся кровотечении из язвы (FIа, FIb) рекомендуется выполнить гемостаз через эндоскоп медицинский гибкий [13, 19, 23, 31].
Уровень убедительности рекомендаций C (уровень достоверности доказательств – 5).
У пациентов с ЯГДК при кровотечении F2A и F2B рекомендуется выполнить эндоскопическую профилактику рецидива кровотечения [13, 19, 23, 31, 201].
Уровень убедительности рекомендаций C (уровень достоверности доказательств – 5).
Комментарий. При обнаружении в ложе язвы кровяного сгустка его следует удалить с помощью прицельного отмывания. В том случае, если у пациента имеется несмываемый, фиксированный к язве тромб-сгусток (FIIb) возможно удалить его путём срезания у основания полипэктомической петлёй [13, 19, 23, 31].
У пациентов с ЯГДК при остановившемся кровотечении FIIC и FIII, эндоскопическая профилактика рецидива кровотечения не рекомендуется [13, 19, 23, 31].
Уровень убедительности рекомендаций C (уровень достоверности доказательств – 5).
Комментарий. В таких случаях важным является обеспечение адекватной медикаментозной профилактики рецидива кровотечения.
У пациентов с ЯГДК рекомендуется эндоскопическая остановка (F1A-B,) или профилактика рецидива (F2A-B) кровотечения [13, 14, 19, 23, 31].
Уровень убедительности рекомендаций C (уровень достоверности доказательств – 5).
Комментарий. Эндоскопическую остановку (профилактику рецидива) кровотечения необходимо выполнить в течение 2 часов от момента госпитализации пациента. У пациентов с ЯГДК для эндоскопической остановки кровотечения из язвы и профилактики его рецидива целесообразно применять инъекционный метод гемостаза в сочетании с термическими (диатермокоагуляция или коагуляция кровоточащего сосуда аргоноплазменная (A22.30.033.001)) методами гемостаза или клипированием [13, 14, 19, 23, 31]. Инъекционный гемостаз в качестве монотерапии не обеспечивает должной эффективности и должен применяться только в комбинации с другими методами эндоскопического гемостаза. Как дополнение к комбинированному эндоскопическому гемостазу могут быть использованы и другие местные методы эндоскопического гемостаза [13, 14, 19, 23, 31].
У пациентов с ЯГДК повторное контрольное эндоскопическое исследование/вмешательство рекомендуется выполнить при неполноценном первичном осмотре/гемостазе и при высоким риске рецидива кровотечения [85, 86].
Уровень убедительности рекомендаций B (уровень достоверности доказательств – 1).
Комментарий. Рутинное выполнение контрольного эндоскопического исследования у всех пациентов с ЯГДК нецелесообразно. При неполноценном первичном осмотре/гемостазе повторное эндоскопическое исследование следует выполнить в ближайшие часы после первой ЭГДС. При высоком риске рецидива кровотечения повторное ЭГДС целесообразно выполнять в течение 12 часов после первой эндоскопии [85, 86].
У пациентов с ЯГДК при первом эпизоде рецидива кровотечения в стационаре рекомендуется выполнение повторного эндоскопического гемостаза [12, 14, 19].
Уровень убедительности рекомендаций C (уровень достоверности доказательств – 5).
Пациентам с язвой желудка после успешной неоперативной остановки кровотечения рекомендуется выполнить контрольное эндоскопическое исследование с взятием биопсии желудка с помощью эндоскопии (A11.16.002) по окончании курса консервативного лечения [87, 88, 161].
Уровень убедительности рекомендаций C (уровень достоверности доказательств – 5).
Комментарий. Эта рекомендация в первую очередь касается пациентов, у которых сохраняется язвенная симптоматика, несмотря на соответствующий курс медикаментозной терапии, либо этиология язвы остаётся непонятной. Продолжение лечения анемии у пациентов, перенесших язвенное кровотечение, осуществляется на амбулаторном этапе до полной нормализации уровня гемоглобина. Целесообразно назначение препаратов железа в лекарственной форме для перорального применения для возмещения дефицита железа в организме, что соответствует Клинические рекомендации Железодефицитная Анемия МЗ РФ (ID:669) [99].
Диета и медикаментозная терапия пациентов с язвенными гастродуоденальными кровотечениями
Пациентам с высоким риском рецидива кровотечения после его эндоскопической остановки/профилактики рекомендуется введени
Пациентам с ЯБ желудка и двенадцатиперстной кишки в стадии ремиссии с целью ее сохранения рекомендуется санаторно-курортное лечение в санаторно-курортных организациях климатической зоны проживания пациента [5].
Уровень убедительности рекомендаций С (уровень достоверности доказательств – 5).
Комментарий. Пациентам с язвенной болезнью через 2-3 месяца после стихания обострения целесообразно проведение санаторно-курортного лечения продолжительностью 14-21 день. Санаторно-курортное лечения проводится в санаториях Дорохово, Ессентуки, Железноводск и др. и включает в себя грязе- и торфолечение, хвойно-морские ванны, питье щелочных минеральных вод [5].
Всем лицам с наличием инфекции H. pylori при отсутствии противопоказаний рекомендуется проведение эрадикационной терапии с целью профилактики ЯБ и ее обострений [52].
Уровень убедительности рекомендаций С (уровень достоверности доказательств – 5).
Комментарий. Подтверждение ведущей роли инфекции H. pylori в развитии язвенной болезни сделало проведение эрадикационной терапии основным методом профилактики данного заболевания
Диспансерное наблюдение пациентов с ЯБ желудка и двенадцатиперстной кишки рекомендуется проводить ежегодно в течение 5 лет с момента последнего обострения [5].
Уровень убедительности рекомендаций С (уровень достоверности доказательств – 5).
Показаниями к плановой госпитализации пациентов с язвенной болезнью желудка и двенадцатиперстной кишки служат резко выраженная клиническая картина заболевания с упорным (более 7 дней) болевым синдромом, наличие в желудке изъязвлений, требующих дифференциального диагноза между доброкачественными язвами и раком желудка, обострение язвенной болезни с наличием осложнений в анамнезе, язвенная болезнь с сопутствующими заболеваниями [99].
Продолжительность стационарного лечения пациентов с обострением язвенной болезнью должна составлять 21 день.
Показанием к экстренной госпитализации является наличие признаков желудочного кровотечения, перфорации и пенетрации язвы.
Пациенты с неосложненным течением обострения язвенной болезни желудка и двенадцатиперстной кишки подлежат лечению в амбулаторных условиях.
Пациентам с обострением язвенной болезни оказывается специализированная медицинская помощь как в амбулаторных, так и в стационарных условиях, в соответствии со стандартом специализированной медицинской помощи при язвенной болезни желудка, двенадцатиперстной кишки.
Все больные с признаками острого желудочно-кишечного кровотечения или при обоснованном подозрении на таковое подлежат немедленному направлению в стационары, полностью подготовленные к приёму и лечению больных данного профиля организационно, кадрово и материально-технически. В крупных городах целесообразно направлять больных с ЖКК в многопрофильные стационары или в специализированные центры по лечению ЖКК.
Каждая клиника, оказывающая помощь пациентам с острым ЯГДК должна располагать протоколом мультидисциплинарного ведения таких пациентов. Протокол диагностики и лечения пациентов должен базироваться на национальных клинических рекомендациях и учитывать особенности структуры оказания неотложной помощи и оснащения конкретного лечебно-профилактического учреждения.
В клинике, оказывающей помощь пациентам с острым ЯГДК, в любое время суток должна быть доступна современная эндоскопическая видеоаппаратура, инструментарий и персонал, владеющий основными методами диагностической и лечебной эндоскопии; высококвалифицированная хирургическая, реанимационно-анестезиологическая и, по возможности, рентген-интервенционная служба.
Все пациенты с острыми ЖКК должны быть госпитализированы в хирургический стационар или ОРИТ.
Пациенты с ЯГДК средней и тяжёлой степени, высоким риском рецидива кровотечения, наличием сопутствующей патологии должны находиться на стационарном лечении до снятия угрозы рецидива ЯГДК, полной коррекции острых постгеморрагических расстройств и компенсации сопутствующих заболеваний, но не менее 4-х суток.
У комплаентных пациентов с ЯГДК лёгкой степени, низким риском рецидива кровотечения, отсутствием сопутствующей патологии возможна выписка из стационара в ранние сроки (1е - 2и сутки) от поступления.
7.1. Особенности течения ЯБ у отдельных групп пациентов
7.1.1. Особенности течения ЯБ при беременности
Течение ЯБ при беременности в целом мало отличается от такового у небеременных женщин. Диагноз устанавливается на основании клинических проявлений, анамнестических данных, результатов ЭГДС и ультразвукового исследования органов брюшной полости [100]. Рентгенологическое исследование желудка и ДПК беременным противопоказано.
В диагностически неясных случаях, при подозрении на развитие осложнений (кровотечение, стеноз антрального отдела желудка, рак) ЭГДС в силу своей безопасности для плода может быть проведена при любом сроке беременности [101]. Для исключения оккультного кровотечения проводятся исследование кала на скрытую кровь, общий (клинический) анализ крови.
Дифференциальный диагноз обострения язвенной болезни необходимо проводить с эрозивным гастродуоденитом, панкреатитом, заболеваниями желчевыводящих путей, острым аппендицитом и ранним токсикозом – рвотой беременных. Стенозирующая язва антрального отдела желудка может симулировать чрезмерную рвоту беременных. Для раннего токсикоза характерны мучительная, почти постоянная тошнота, усиливающаяся на различные запахи, слюнотечение. При этом рвота бывает независимо от еды, особенно по утрам, боль в животе, как правило, отсутствует. Кровотечение, обусловленное язвенной болезнью, необходимо дифференцировать с таковым при эрозивном гастрите, синдроме, Маллори-Вейсса, раке желудка, кровотечением из дыхательных путей.
Беременность оказывает благоприятное влияние на течение язвенной болезни: у 75-80% женщин отмечается ремиссия заболевания, и оно не оказывает заметного влияния на ее исход. Однако у некоторых пациенток может произойти обострение. Чаще это наблюдается в I триместре беременности (14,8%), третьем (10,2%), за 2-4 недели до срока родов или раннем послеродовом периоде. Неосложненная язвенная болезнь не оказывает отрицательного влияния на развитие плода.
Лечение включает соблюдение общепринятых «режимных» мероприятий и диеты; прием в обычных терапевтических дозах невсасывающихся антацидов (например, коллоидного фосфата алюминия и адсорбентов в виде диоктаэдрического смектита). При отсутствии эффекта назначаются Н2-блокаторы.
При выраженных болях, обусловленных моторными нарушениями, возможно назначение спазмолитиков (дротаверин** по 40 мг 3-4 раза в день, если польза для матери превышает потенциальный риск для плода) и прокинетиков (возможно применение метоклопрамида** во II и III триместрах беременности по 5-10 мг 2-3 раза в сутки). Препараты висмута (A02BX Другие препараты для лечения язвенной болезни желудка и двенадцатиперстной кишки и ГЭРБ) беременным противопоказаны. Эрадикационная терапия инфекции Н. pylori у беременных не проводится.
7.1.2 Особенности течения ЯБ у лиц пожилого и старческого возраста
В развитии гастродуоденальных язв у пациентов пожилого возраста - помимо инфекции H. pylori и кислотно-пептического фактора – могут также играть роль атеросклеротические изменения сосудов желудка, некоторые фоновые заболевания (например, хронические неспецифические заболевания легких), снижающие защитные свойства слизистой оболочки желудка, прием лекарственных препаратов (в первую очередь, НПВП), обладающих ульцерогенным действием.
Гастродуоденальные язвы у пациентов пожилого и старческого возраста локализуются преимущественно в желудке (по малой кривизне тела или в субкардиальном отделе), имеют иногда очень большие размеры, часто протекают со стертой и неопределенной клинической симптоматикой, отличаются наклонностью к развитию осложнений (прежде всего, желудочно-кишечных кровотечений). При обнаружении у пожилых пациентов язв в желудке важное значение имеет проведение дифференциального диагноза с инфильтративно-язвенной формой рака желудка.
Гастродуоденальные язвы у лиц пожилого и старческого возраста характеризуются медленным рубцеванием, а также высоким риском перфорации после проведения гемостатических мероприятий. При проведении медикаментозной терапии следует соблюдать осторожность, учитывая более высокий риск развития побочных эффектов у пожилых пациентов по сравнению с пациентами молодого и среднего возраста.



















