Эксперты предложили обновить диагностические критерии рассеянного склероза

На конгрессе ECTRIMS эксперты представили обновление диагностических критериев Макдональда 2017 года для диагностики рассеянного склероза. Рекомендации опубликованы на портале Medscape.
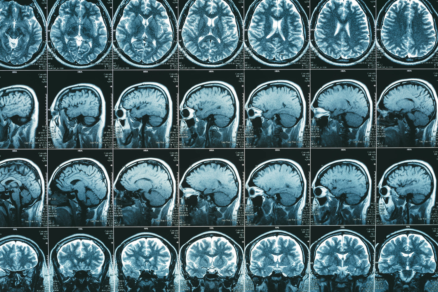
Магнитно-резонансная томография (МРТ) головного и спинного мозга остается наиболее результативным методом диагностики заболевания. Эксперты отметили, что неврит зрительного нерва служит первым проявлением рассеянного склероза в 25—35% случаев при клинически изолированном синдроме. Поэтому следует рассматривать зрительный нерв в качестве «пятой локализации» или пятой анатомической области диссеминации симптомов заболевания в пространстве (DIS), если лучшего объяснения патологии зрительного нерва не существует. При этом минимальный порог диссеминации в пространстве — это наличие хотя бы одного очага хотя бы в двух их пяти топографических областях, включая зрительный нерв.
Группа также пришла к выводу, что диссеминации в пространстве без диссеминации во времени или положительного анализа спинномозговой жидкости может быть достаточно для диагностики рассеянного склероза. Сейчас требуются как диссеминация в пространстве, так и во времени.
По словам экспертов, у большинства пациентов с радиологически изолированным синдромом в течение десяти лет разовьется рассеянный склероз. Комиссия пришла к выводу, что для диагностики рассеянного склероза у таких пациентов достаточно следующих критериев: соответствие диссеминации как в пространстве, так и во времени; соответствие диссеминации в пространстве и наличие олигоклональных полос в спинномозговой жидкости; или соответствие диссеминации в пространстве вместе с шестью или более признаками симптома центральной вены.
Эксперты предлагают добавить симптом центральной вены и парамагнитного обода, которые служат маркерами хронических активных поражений на МРТ, в качестве дополнительных инструментов для диагностики рассеянного склероза в определенных ситуациях. Визуализация симптома центральной вены с помощью МРТ может повысить специфичность.
Ученые призывают к более строгим критериям подтверждения диагноза рассеянного склероза у людей старше 50 лет или с головной болью или сосудистыми расстройствами. У таких пациентов они настоятельно рекомендуют учитывать дополнительные признаки, такие как поражение спинного мозга, изменения в спинномозговой жидкости и шесть и более признаков симптома центральной вены.
Группа также рекомендует проводить лабораторные тесты (MOG-IgG Ab) для подтверждения диагноза у детей и подростков. Первично-прогрессирующий рассеянный склероз требует доказательств клинического прогрессирования в течение минимум 12 месяцев. Также для первично-прогрессирующего рассеянного склероза можно использовать те же критерии, что и для рецидивирующе-ремиттирующего течения заболевания.


















Нет комментариев
Комментариев: